Боль В Пояснице
Поясница – это элегантная структура, состоящая из костей, мышц и связок. Поскольку поясница – это шарнир, соединяющий верхнюю и нижнюю часть тела, она особенно подвержена травмам, когда вы поднимаете тяжести, тянетесь за чем-либо или перекручиваете позвоночник. Когда Вас настигает боль в пояснице, Вы вдруг понимаете, как сильно мы зависим от гибкой, сильной спины. По иронии судьбы, большинство из нас не задумывается о важности сохранении тонуса мышц спины и живота, пока у нас не появится боль в пояснице.
Почти у 85% всех людей когда-нибудь их жизни отмечается боль в пояснице. Очень часто боль в пояснице провоцируется тем или иным сочетанием переработки, мышечного перенапряжения или травмы мышц и связок, поддерживающих позвоночный столб. Реже боль в пояснице вызывается заболеванием или деформацией позвоночника.
Боль в спине может быть:
- Острой, длящейся менее 3 месяцев. У большинства лиц наступает облегчение после 4-6 недель домашнего лечения
- Рецидивирующей, с повторными эпизодами острых симптомов. У большинства лиц отмечается как минимум один эпизод рецидива боли в пояснице
- Хронической, длящейся более 3 месяцев

Каковы симптомы боли в пояснице?
Термин "боль в пояснице" используется для описания целого спектра симптомов. В зависимости от причин, боль в пояснице может быть тупой, жгучей или острой, охватывающей большую площадь или ограничивающейся одной точкой. Она может развиваться постепенно или наступить внезапно и сопровождаться мышечным спазмом или ригидностью мышц, либо без них.
Симптомы в ногах могут быть вызваны нарушениями в нижнем отделе позвоночника, вызывающими сдавление нерва, идущего к ноге; они могут возникать самостоятельно или отмечаться одновременно с болью в пояснице. Симптомы в ногах могут включать следующее: боль, онемение или покалывание, обычно ниже колена.
Слабость в обеих ногах, наряду с утратой контроля над функцией мочевого пузыря и/или кишечника представляют собой симптомы синдрома конского хвоста (cauda equina), что требует немедленного врачебного вмешательства.
Как диагностируется причина боли в пояснице?
Ваш врач может оценить острую боль в пояснице, расспросив Вас о перенесенных Вами заболеваниях и Вашей работе и физической активности, а также проведя простое физическое обследование. Для 95% людей с болью в пояснице такого обследования врачу вполне достаточно для того, чтобы дать рекомендации по лечению.

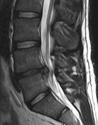
Иногда применяются визуализирующие методы исследования, позволяющие получить больше информации о нарушениях в области спины. К визуализирующим методам исследования нарушений в области спины относятся: магнитно-резонансная томография (МРТ), компьютерная томография (КТ), сканирование костей и рентгенологическое исследование. Если результаты Вашего обследования предполагают наличие у Вас серьезного заболевания, Ваши симптомы длятся более 4-6 недель, или у Вас отмечается постоянная сильная боль в спине, боль или онемение в ноге, визуалиризирующие методы исследования могут пролить свет на Ваше заболевание и его причины.
Что повышает риск боли в пояснице?
Риск появления боли в пояснице у Вас повышается, если Вы мужчина среднего возраста, если в прошлом Вы или кто-либо из Вашей семьи имели нарушения со стороны спины, или выносили беременность полный срок. К факторам образа жизни, повышающим Ваш риск, относятся: курение; избыточный вес; сидячий образ жизни; регулярные напряжения, вибрация или перекручивание спины; длительное сидение; и длительный прием лекарств, ослабляющих кости (например, кортикостероидов).
Как лечить боль в пояснице?
Острая боль в пояснице. В большинстве случаев боль в пояснице проходит на фоне домашнего лечения. При появлении симптомов боли в пояснице, начните такое лечение:
- 3 дня прикладывайте лед, а затем влажное тепло.
- Нестероидные противовоспалительные препараты (НСПП) для снятия боли.
- Ежедневная регулярная активность, не усиливающая боль в спине. Постельный режим более двух дней замедляет выздоровление.
Усиливающаяся или продолжающаяся боль в пояснице. Если Ваши симптомы усиливаются или не проходят, несмотря на 4 недели домашнего лечения, обратитесь к своему доктору для обследования и продолжения домашнего лечения. Вы можете также применить физиотерапию, массаж, акупунктуру или другие виды альтернативной медицины, которые Вам удобны. Данные научных исследований говорят о том, что при боли в пояснице или мышечном спазме неизвестной причины некоторые виды лечения помогают некоторым людям, а другим – нет. Одно небольшое исследование показало, что лечение, в действенность которого Вы больше всего верите, скорее всего и поможет победить боль в пояснице.
Хроническая боль в пояснице.
Если проблемы с поясницей длятся более 3 месяцев, Вам просто жизненно необходимо научиться лечить хроническую боль и справляться с ней. Чтобы морально и физически справиться с хронической болью, обратитесь за лечением к более, чем одному виду специалистов, включая физиотерапевта по вопросам проведения упражнений на мышцы спины и живота. К дополнительным видам лечения, которые могут помочь при хронической боли в пояснице, относятся психотерапия для обучения навыкам управления болью, а также трициклические антидепрессанты или вливания в спинно-мозговой канал для устранения боли.
Есть ряд экспериментальных или непроверенных методов лечения для облегчения хронической боли в пояснице, в том числе внутридисковая электротермическая терапия (ВДЭТ), морфиновые насосы и лазерная дискэктомия. Отнеситесь к этим методам лечения со здравой долей осторожности и прежде, чем решиться на такое лечение, заручитесь вторым, а возможно и третьим мнением.
Для лечения боли в пояснице редко требуется операция, хотя ее часто предлагают в качестве разумного метода лечения. При некоторых состояниях, вызывающих боль в пояснице (например, грыже диска), может помочь операция. Однако и в этих случаях большинство людей поправляется без операции.
Надо ли мне проходить магнитно-резонансную томографию (МРТ) по поводу боли в пояснице?
Эта информация поможет Вам понять, какие у Вас есть варианты, независимо от того, участвуете ли Вы в принятии решения, или полагается на рекомендации своего врача.
Основные моменты при принятии Вами решений
Учитывайте следующие моменты при принятии решения о том проходить ли магнитно-резонансную томографию (МРТ):
- Высока вероятность того, что впервые появившаяся у Вас (острая) боль в пояснице пройдет через 6 недель — в большинстве случаев так и происходит.
- Старайтесь не просить провести Вам дорогостоящие визуализирующие методы исследования по поводу острой боли в пояснице. Эти исследования обычно не дают полезной информации на раннем этапе. Если у Вас нет признаков серьезного заболевания (например, инфекционного поражения позвоночника или рака кости), не просите и не соглашайтесь на визуализирующие методы исследования, если, конечно, ваша боль в пояснице не проходит после 4-6 недель домашнего лечения.
- МРТ и компьютерная томография в равной степени способны могут дать точную визуализацию грыжи диска или стеноза позвоночного канала, которые могут вызвать нарушения, связанные со сдавлением нервов. МРТ имеет преимущество перед компьютерной томографией в том отношении, что при МРТ не используется ионизирующее облучение.
- Ваш врач, вероятно, повременит несколько недель с назначением МРТ по поводу симптомов, связанных со сдавлением нервов, поскольку зачастую они проходят самостоятельно.
Боль в пояснице или мышечный спазм неизвестной этиологии у некоторых людей поддается определенным методам лечения, а у других нет. Результаты одного небольшого исследования говорят о том, что лечение, которому Вы доверяете, считая его эффективным, скорее всего и поможет Вам победить боль в пояснице.
Первоначальное лечение
Если Вы недавно травмировали поясницу, то велика вероятность того, что Вы сможете успешно вылечить ее в течение нескольких недель.
- Применяйте основные методы домашнего лечения, включая лед в течение 3 дней с последующим влажным теплом, а также нестероидные противовоспалительные препараты (НПВП)
- Как можно скорее возвращайтесь к своей обычной ежедневной активности (пребывание в постели замедляет выздоровление)
- Наберитесь терпения; до 90% случаев, связанных с острой болью в пояснице, успешно излечивается на фоне домашнего лечения в течение 3 месяцев
У большинства людей бывает как минимум один повторный эпизод боли в пояснице. Если у Вас была боль в пояснице, то помните, что ваша спина теперь более уязвима, чем раньше. Сделайте уход за своим позвоночником обязательным элементом Вашего распорядка дня: сохраняйте силу своих брюшных и спинных мышц, поднимайте тяжести правильно и следите, чтобы у Вас была правильная осанка.
Лечение на дому
Независимо от того, требуется ли Вам в Вашем состоянии дополнительное медицинское лечение или нет, домашнее лечение является краеугольным камнем выздоровления от боли в пояснице.
Острая боль в пояснице
Когда Вы впервые почувствуете боль в спине, почитайте раздел "Когда обращаться к врачу" , чтобы узнать о симптомах, которые требуют немедленного врачебного внимания. Если у Вас нет симптомов серьезного заболевания, попробуйте следующие этапы лечения на дому.
- Попробуйте первые меры помощи при боли в пояснице в первые несколько дней после начала боли. Например, попробуйте покрутить тазом. Это упражнение мягко раздвигает позвоночник и растягивает поясницу.
- Снизить свою ежедневную нагрузку. Исследования показали, что отдых в постели никоим образом не лучше (в смысле снятия боли), чем сохранение физической активности и может привести к гипофункции. Однако Вам может потребоваться снизить объем нагрузок. Избегайте движений, которые причиняют боль в пояснице.
- Принимайте обезболивающие, отпускаемые без рецепта, противовоспалительные препараты, а также прикладывайте лед или тепло на спину, чтобы уменьшить боль в спине.
Постоянное (хроническое) лечение
Если боль в пояснице длится более 3 месяцев, Вам необходимо научиться справляться с хронической болью. Поскольку организм становится чувствительным к постоянной боли, он может реагировать физиологически на эту боль таким образом, что боль становится постоянной.
При хронической боли нередко требуется как психологическая консультация, так и медикаментозное лечение, потому что боль изнуряет как морально, так и физически. Постарайтесь найти врача психолога, который научил бы Вас бороться с болью. В зависимости от Вашего состояния, Вы можете контролировать боль, продолжив мероприятия в рамках домашнего лечения и применив один или несколько следующих видов лечения:
- Ежедневные упражнения, направленные на укрепление мышц спины. Обратитесь к врачу по лечебной физкультуре, или к своему врачу общей практики, чтобы получить перечень конкретных упражнений.
- Нестероидные противовоспалительные препараты (НПВП)– для уменьшения боли и воспаления.
- Болеутоляющее средство из группы опиатов (по рецепту) или мышечные релаксант в течение двух дней – для того, чтобы разорвать болевой круг.
- Познавательно-поведенческие навыки или биологическая обратная связь – для борьбы с болью и пусковыми механизмами боли. Обратитесь к психологу, специализирующемуся в вопросах борьбы с болью.
- Лечебный массаж – для снятия мышечного спазма.
- Корректировка позвоночника – это должен делать специалист по мануальной терапии позвоночника.
- Акупунктура (иглоукалывание).
- Трициклические антидепрессанты – для лечения хронической боли. Этот вид лекарств лечит не только нарушения настроения, но и нередко оказывает дополнительное болеутоляющее действие при хронической боли.
- Инъекции анестетиков или кортикостероидов – для блокирования болевых ощущений или уменьшения воспаления.
- Стимуляция спинного мозга – может быть применена при сильной хронической боли в пояснице.


Лечение боли в пояснице при ее усилении или рецидиве
Если у Вас сильная боль в пояснице, которая длится более двух дней, если симптомы со стороны спины или ног усугубились или сохраняются после 4 недель домашнего лечения, или же вновь возникли угасшие было симптомы, обратитесь к своему врачу. Объективное обследование и возможно визуализирующие методы исследования могут дать новую информацию о Вашем состоянии и помочь принять правильное решение о дальнейшей лечебной тактике.
- Если не выявлено никакой серьезной причины невыраженной или умеренной боли в пояснице (что и бывает в 85% случаев), Ваш врач, скорее всего, посоветует Вам продолжить домашнее лечение.
- Имеет смысл проконсультироваться с врачом по лечебной физкультуре на предмет возможности проведения ежедневных упражнений, дающих здоровую спину, если конечно это не ухудшит симптомы заболевания. Нестероидные противовоспалительные препараты (НПВП), теплые примочки, массаж, психотерапия.
- Если боль сильная, Ваш врач может рекомендовать Вам краткосрочный курс болеутоляющего из группы опиатов, эпидуральные инъекции стероидов или мышечные релаксанты. Эти препараты обладают потенциально вредными и побочными действиями, которые могут нивелироваться их благотворным влиянием для Вас.
- Если у Вас имеется основное заболевание – например, грыжа диска, сужение позвоночного канала, анкилозирующий спонидилит, остеоартрит, рак или инфекция, Ваш врач даст конкретные указания по лечению.
Оперативное лечение может быть показано в таких более необычных случаях, как:
- Переломы позвоночника в результате травмы.
- Инфекции спинного мозга.
- Состояние "неустойчивого позвоночника" – например, спондилолиз и спондилолистез.
- Опухоль спинного мозга.
Варианты оперативного лечения
Варианты операций на нижнем отделе позвоночника разнообразны, также как и причины, вызывающие проблемы нижнего отдела позвоночника.
- При операции по поводу грыжи диска удаляется вещество диска, сдавливающее спинной мозг или нервный корешок. Более подробную информацию Вы можете получить в разделе:
"Надо ли мне оперироваться по поводу грыжи диска?" - При операции по поводу Стеноза спинномозгового канала (декомпрессия спинного мозга с артродезом позвонков или без такового) производится расширение суженного спинномозгового канала и устраняется сдавление спинного мозга или корешков.
- При операции анкилозирования позвонков (артродез) по поводу спондилолистеза и других проявлениях "неустойчивого позвоночника" позвонки соединяются друг с другом для уменьшения давления на спинной мозг или нервные корешки.
- К операциям по поводу опухолей спинного мозга относятся удаление и стабилизация опухоли с артродезом или без него.
- При операции по поводу инфекционных поражений позвоночника проводится его хирургическая обработка в сочетании с артродезом или без такового.
+ НАДО ЛИ МНЕ ОПЕРИРОВАТЬСЯ ПО ПОВОДУ ГРЫЖИ ПОЗВОНОЧНОГО ДИСКА?
Основные моменты в принятии Вами решений
Грыжу диска можно лечить нехирургически или оперативно. Принимая решение, Вы должны учитывать следующие моменты:
- Большинство случаев грыжи диска вылечивается и боль уменьшается после нескольких месяцев нехирургического лечения – таких, например, как покой, медикаментозная терапия, инъекции и реабилитация. Нехирургическое лечение может значительно уменьшить симптомы Вашей болезни и помочь Вам вернуться к обычной ежедневной деятельности.
- Если у Вас отмечается сильная боль и онемение в ягодицах и ногах (ишиас), вызванные грыжей диска, операция может дать облегчение.
- Можно подумать об оперативном лечении, если выраженный ишиас у Вас длится более месяца.
- Вероятно, после оперативного лечения боль у Вас пройдет быстрее. Однако после 4-8 лет результаты нехирургического лечения такие же, как хирургического.

Кости, образующие позвоночник, отделены друг от друга амортизирующие маленькими дисками. По форме спинальные диски круглые и плоские, с плотным наружным слоем (капсула или кольцо), окружающее студнеообразное вещество (ядро). Когда эти диски здоровы, они действуют как амортизаторы сотрясений позвоночника и придают позвоночнику гибкость. При повреждении дисков в результате травмы, естественного износа и старения либо заболевания они могут аномально выпячиваться или разрываться (так называемая грыжа). Аномально выпячивающийся или разорвавшийся диск называют грыжей диска, или иногда протрузией диска.
Протрузия или грыжа диска может сдавливать нерв в том месте, где у Вас сзади от спинного мозга отходят нервные веточки. Такое сдавление может вызывать боль, онемение, покалывание, слабость или утрату рефлексов в ноге. Она может вызывать боль в пояснице, а может и нет. Однако во многих случаях грыжа диска не вызывает никаких симптомов. Если МРТ-исследование показало у Вас наличие грыжи диска, Ваш доктор тщательно сопоставит результаты МРТ с результатами Вашего медицинского осмотра для того, чтобы убедиться в том, что визуализируемая на МРТ грыжа диска является наиболее вероятной причиной Ваших симптомов.
В каких случаях применяется нехирургическое лечение грыжи диска?
В большинстве случаев грыжа диска излечивается после нескольких месяцев нехирургического лечения. Нехирургическое лечение может включать кратковременный покой, медикаментозное уменьшение боли и лечебную физкультуру - программу упражнений, предписанную врачом. Примерно 50% больных с грыжей диска выздоравливают через 1 месяц; после 6 месяцев выздоравливает большинство. Только у 10% людей с грыжей диска после 6 недель сохраняется достаточно сильная боль, чтобы можно было подумать о необходимости оперативного лечения.
Если Вам стало лучше после 6 недель нехирургического лечения, то это можно считать благоприятным признаком того, что Ваш организм будет и дальше поправляться без операции. Очень часто организм сам реабсорбирует вещество диска, что уменьшает боль и другие симптомы, вызванные сдавлением нерва. Этот процесс называется резорбцией.
Когда показана операция по поводу грыжи диска?
В конечном счете оперативное лечение показано примерно 10% лиц с грыжей диска. Большинство врачей – до того, как рассмотреть возможность применения оперативного лечения – ждут 1-3 месяца, в течение которых Вы безуспешно лечились нехирургическими методами (однако обычно пока не пройдет более 6 месяцев). У лиц, у которых грыжа диска вызывает боль, слабость или онемение в течение более 6 месяцев, может оказаться необратимое повреждение нерва, и оперативное лечение у таких лиц принесет меньше пользы.

Операция по поводу грыжи диска выполняется с целью уменьшить боль и восстановить более или менее обычные движения и функцию. Оперативное лечение показано при наличии следующих условий:
- У Вас отмечается постоянная боль в ноге, а также слабость и ограничение ежедневной активности.
- Результаты объективного обследования показывают, что у Вас в настоящее время есть слабость, потеря движений, нарушения чувствительности или изменение рефлексов.
- Такие диагностические методы исследования, как магнитно-резонансная томография (МРТ), компьютерная томография указывают на то, что Ваша грыжа диска может быть излечена хирургически.
Операции на диске можно применять для лечения:
- • Разрыва диска или удаления свободных кусочков вещества диска, непосредственно являющихся причиной сдавления нервных корешков. Если сильная и инвалидизирующая боль от ишиаса не проходит после, как минимум 4-6 недель нехирургического лечения, Ваш доктор может рекомендовать Вам оперативное лечение
- • Протрузия или грыжа диска, вызывающая серьезное повреждение нерва. Типичные симптомы повреждения нерва ощущаются в ноге и включают слабость, потерю координации или потерю чувствительности
- • Структурные нарушения костей, которые можно излечить только хирургическим путем (в таких случаях нехирургическое лечение было бы неуместным).
- • Синдром конского хвоста
Какие виды операций выполняются при грыже диска?
К наиболее частым и хорошо изученным оперативным вмешательствам при грыже диска относятся:
- Дискэктомия – это оперативное удаление грыжевого вещества диска, сдавливающего нервный корешок или спинной мозг. Эта операция также применяется в случаях протрузии диска или разрыва диска. Дискэктомия может быть самым эффективным видом оперативного лечения у лиц, прошедших безуспешно нехирургическое лечение и у которых сохраняется сильная боль, лишающая их трудоспособности
- Ламинотомия и ламинэктомия – эти операции выполняются с целью уменьшить сдавление спинного мозга и/или спинномозговых корешков, вызванного возрастными изменениями позвоночника. При ламинотомии удаляется доля тонкой части позвонков, образующей защитную арку над спинным мозгом (так называемая lamina – или пластинка); при ламинэктомии удаляется вся пластинка над отдельными позвонками, а также иногда иссекается утолщенная ткань, которая суживает спинномозговой канал – отверстие в позвонках, через который проходит спинной мозг. Любая из этих операций может быть выполнена одновременно с дискэктомией, или же самостоятельно
- Чрескожная дискэктомия применяется в случаях протрузии дисков и дисков, образующих грыжевое выпячивание в спинномозговой канал. При этой операции через маленький надрез на спине вводится специальный инструмент; грыжа диска затем вырезается или дренируется, уменьшая, таким образом, ее размеры. Чрескожная дискэктмия считается менее эффективной операцией, чем открытая дискэктомия, и в настоящее время она применяется все реже
Каковы риски, сопряженные с операцией по поводу грыжа диска?
Дискэктомия и микродискэктомия – наиболее частые виды операций при грыже диска – обычно хорошо переносятся и редко дают осложнения. Однако существует небольшой риск повреждения нервных корешков или структур спинного мозга во время операции. У некоторых больных образуется избыточный рубец в области операции. Существует также риск послеоперационных инфекционных осложнений, которые могут усугубить имеющиеся повреждения. Для лечения инфекционных осложнений могут потребоваться антибиотики и дополнительные операции, чтобы остановить процесс.
Все операции связаны с определенным риском. Кроме того, из-за рисков, присущих общему наркозу, Ваш доктор и медперсонал будут внимательно отслеживать Ваше состояние во время операции и в послеоперационном периоде.
Насколько эффективны операции по поводу грыжи диска?
Лица, у которых отмечаются длительные симптомы, причем настолько выраженные, что нарушают обычную активность и работу человека и требуют приема сильнодействующих обезболивающих средств, могут получить значительное облегчение от операции. В одном из недавних исследований было показано, что оперативное лечение дает максимально положительные результаты у тех лиц, у которых имелся ишиас средне-тяжелой степени тяжести, вызванный нижнепоясничной грыжей диска. Из 402 лиц, включенных в данное 5-летнее изучение результатов хирургического лечения, у 70% оперированных лиц отмечалось улучшение по кардинальному симптому – по сравнению 56% среди лиц, получавших нехирургическое лечение.
Некоторые люди идут на операцию в тех случаях, когда жизненные обязательства требуют сравнительно быстрого восстановления здоровья. Для лиц, незанятых физическим трудом, возвращение к обычной работе произойдет через 2-4 недели; лицам физического труда для этого потребуется 8-12 недель.
Многие лица могут возобновить работу и свою ежедневную деятельность уже вскоре после операции. В некоторых случаях Ваш доктор может рекомендовать Вам пройти послеоперационный курс реабилитации, которая может включать лечебную физкультуру и домашние упражнения.
У Вас есть такие варианты:
- Попробовать нехирургическое лечение (например, покой, физиотерапию и физические упражнения, а также лекарственные средства).
- Прооперироваться.
| Аргументы в пользу оперативного лечения грыжи диска | Аргументы против оперативного лечения грыжи диска |
|---|---|
|
• У Вас сильная боль, онемение и слабость в ноге, приводящие к потере трудоспособности. • Симптомы со стороны ноги не уменьшаются после как минимум 4-недельного курса нехирургического лечения. • Вы отмечаете, что признаки сдавления нервного корешка усилились (усилилась боль в ноге, выраженная потеря чувствительности, паралич или нарастающая слабость, потеря координации, полная утрата рефлексов). • Ваша работа требует сравнительно скорейшего восстановления Ваших функций. • Вы можете неукоснительно выполнять режим реабилитации в течение нескольких недель после операции. |
• Вы хотите воспользоваться нехирургическими методами лечения, включая физиотерапию, упражнения, покой и медикаментозные средства для того, чтобы излечиться от грыжи диска.
• Нет гарантии того, что операции устранит Ваши симптомы. |
| Есть ли еще другие причины, по которым Вы хотели бы получить оперативное лечение по поводу грыжи диска? | Есть ли еще другие причины, по которым Вы не хотели бы подвергнуться оперативному лечению по поводу грыжи диска? |
Другие виды лечения
Вы вместе с Вашим доктором можете выбрать из большого многообразия физических, психологических, экспериментальных и альтернативных методов лечения боли в пояснице. Одни из них являются методами кратковременной "починки", другие вооружают Вас инструментами для самолечения симптомов со стороны поясницы в течение всей жизни. Не все эти терапевтические методы охвачены организациями медицинского страхования.
Другие варианты лечения
Комплексные реабилитационные программы. Оптимальным решением вопроса нахождения правильного сочетания методов лечения хронической боли в пояснице может стать интегративная программа. Комплексные реабилитационные программы предлагают большое разнообразие лечебных методик и специалистов. Такого рода программа считается одним из наиболее эффективных методов лечения хронической боли в пояснице.
Другие виды лечения заболеваний нижнего отдела позвоночника
Физические упражнения по поводу боли в пояснице считаются одним из двух наиболее эффективных методов лечения и контроля хронической боли в пояснице. Ежедневные упражнения могут эффективно устранить боль в спине и привести к длительному снижению боли в пояснице.
Психотерапия может уменьшить как острую, так и хроническую боль в пояснице и нетрудоспособность.
Стимуляцию спинного мозга можно применить в случаях сильной, хронической боли в пояснице.
Экспериментальные терапевтические методики в лечении болей в пояснице
Для лиц, страдающих болью в пояснице, регулярно разрабатываются и предлагаются новые и экспериментальные методы лечения.

Если Вы собираетесь прибегнуть к такому методу лечения, обязательно поинтересуйтесь у своего врача относительно научных доказательств эффективности и безопасности этой методики, а также результатов его собственного опыта применения этой методики.
Перечисленные ниже лечебные методики являются экспериментальными и не применяются широко. Они еще недостаточно изучены в течение длительного времени, но показали себя довольно перспективными методами лечения для некоторых видов боли в пояснице.
- Внутридисковая электротермическая терапия (ВДЭТ) – лечит хроническую боль в поясницеre, вызванную поврежденным позвоночным диском.
- Инъекции ботулинического токсина (Ботокса) могут помочь снять болезненные мышечные спазмы в пояснице.
- Аксиальная декомпрессия позвонков (VAX-D) может помочь снять болезненное сдавление спинных позвоночных дисков.
Вспомогательные методы в комплексном лечении болей в пояснице и самолечении
Перечисленные ниже вспомогательные методы лечения применяются для уменьшения боли в пояснице.
- Массаж оказался эффективным методом уменьшения острой или хронической боли в пояснице, особенно в сочетании с упражнениями и обучением методам ухода за спиной.
- Мануальная терапия – результаты научных исследований неоднозначны. Одни исследования показывают, что манипуляции на позвоночнике уменьшают боль и приводят к выздоровлению через 2-3 недели лечения, а другие опровергают такие выводы. Однако в целом представляется довольно перспективной методикой лечения боли в пояснице.
- Биологическая обратная связь – не совсем хорошо изучена как метод лечения боли в пояснице. В нескольких научных исследованиях было показано, что биологическая обратная связь не настолько эффективна, как познавательно-поведенческая терапия, в лечении острой боли в пояснице и симптомов ишиаса и возможно не лучше, чем placebo в лечении хронической боли в пояснице.
- Акупунктура – согласно самому последнему систематическому обзору имеющихся наилучших научных исследований, эффективность акупунктуры в лечении боли в пояснице не доказана.
- Методики релаксации могут помочь уменьшить мышечное напряжение и депрессию.
Информация представленная на данной сайте не предназначена для диагностики и лечения заболеваний или каких-либо проблем со здоровьем. Обратитесь к врачу, имеющему соответствующий диплом об окончании медицинского ВУЗа за консультацией по поводу диагностики и лечения заболеваний или каких-либо проблем со здоровьем. В случае экстренных ситуаций звоните в скорую помощь.
КЛИНИКИ, ГДЕ МОЖНО ЛЕЧИТЬ БОЛИ В СПИНЕ И ДРУГИЕ ЗАБОЛЕВАНИЯ ПОЗВОНОЧНИКА
- Казахский институт онкологии и радиологии
- Онкологические диспансеры по месту жительства
- Университетская клиника г. Фрайбург, Германия
- Клиника Анадолу, Турция
- Клиника Аджибадем, Турция
- Медицинский центр Шемер, Израиль
- Больница Шиба, Израиль
- Диагностика LifeCheck в Монте-Карло
- Клиники Парквей, Сингапур
- Больница Асан, Южная Корея
