Диагностика и Предупреждение Болезней : Страница 6 из 6
Исследования внутренних структур и органов важны для выявления или контроля течения заболеваний. Наружные органы, такие, например, как уши, нетрудно осмотреть напрямую, с использованием несложных диагностических инструментов. Внутренние же органы обычно изучают не непосредственно, а с использованием специального оптического инструмента – эндоскопа. Изображения, получаемые таким образом, можно выводить на экран монитора.
Некоторые виды медицинских исследований проводятся в рамках обычного осмотра. Например, врач может легко и быстро осмотреть ваши уши, глаза и горло прямо в своём кабинете. Врач применяет специальные инструменты, позволяющие детально осмотреть отдельные органы. Например, отоскоп используется для осмотра ушной полости, а офтальмоскоп - глаз.
Для исследования внутренних органов врач может направить вас на так называемое эндоскопическое обследование. Эндоскоп - это трубкообразное приспособление, с помощью которого можно проводить осмотр внутренних полых органов. Эндоскоп может быть гибким или негнущимся, иметь различную длину и диаметр. Каждый тип эндоскопа предназначен для исследования определенного органа.
ЭНДОСКОПИЧЕСКОЕ ИССЛЕДОВАНИЕ НАРУЖНЫХ ОРГАНОВ
Инструменты, используемые для прямого осмотра органов человека, были разработаны около 100 лет назад. С тех пор они претерпели значительные изменения. Некоторые из этих инструментов были заменены на более совершенные. Однако базовые инструменты всё ещё используются в кабинете врача во время обычного осмотра, так как они просты в использовании и не причиняют дискомфорта пациентам.
Для изучения естественных отверстий организма, таких, например, как ушной канал, врачу обычно нужен источник света, который можно сфокусировать на осматриваемом участке. Кроме того, необходимо устройство, позволяющее увеличивать изображения. Эти два компонента (источник света и увеличитель) часто объединяются в один инструмент, такой как отоскоп, который используется для изучения ушного канала.
Для остальных естественных отверстий, таких как влагалище или носовая полость, врачу может понадобиться дополнительный инструмент, который позволяет держать отверстие открытым. В отдельных случаях такие приспособления используются для того, чтобы сделать доступ к органу более удобным, и позволить врачу взять образцы ткани для микроскопических исследований.
Чувствительную к свету сетчатку глаза, находящуюся на дне глазного яблока, можно осмотреть через расширенный зрачок. Инструмент, который при этом используется, называется офтальмоскоп. Он сочетает в себе увеличительные линзы и источник света.
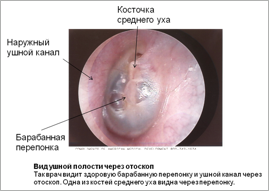
Осмотр ушной полости
Во время обследования ваш врач может использовать специальное приспособление для осмотра ушной полости называемое отоскопом, который позволяет заглянуть внутрь уха и исследовать ушной канал и барабанную перепонку.
ДЛЯ ЧЕГО ИССЛЕДУЮТ НАРУЖНЫЕ ОРГАНЫ?
Врач может использовать инструменты осмотра как часть обычного медицинского обследования, для выявления симптомов и диагностики болезней. Например, если у вас боль в ухе, врач может осмотреть ушную полость с помощью отоскопа, а при хрипоте он может осмотреть гортань и голосовые связки с помощью ларингоскопа.
Помимо этого инструменты осмотра применяются для диагностики осложнений хронических заболеваний. Например, при диабете важно проверить глазное дно с помощью офтальмоскопа и щелевой лампы с тем, чтобы выявить заболевание сетчатки глаз на ранней стадии, которые могут быть вызваны диабетом.
При заболеваниях женских половых органов с помощью специального инструмента, который называется кольпоскопом, могут быть взяты образцы некоторых тканей.
Некоторые инструменты для осмотра снабжены специальными приспособлениями для фотографирования. это позволяет сравнивать снимки, полученные в различное время, и таким путем проследить динамику развития болезни.
Использование офтальмоскопа, отоскопа и других инструментов, применяемых для изучения глаз, ушной раковины и других органов, не несет какой-либо опасности для пациентов. Такие исследования можно проводить настолько часто, насколько это необходимо в целях наблюдения за развитием болезни. Указанные методы причиняют лишь лёгкий дискомфорт, либо не причиняют его вовсе, поэтому они не требуют специальных процедур обезболивания. Однако при исследовании гортани может быть применена местная анестезия, которая вызывает легкое чувство онемения.
Эндоскоп - это трубкообразный прибор для осмотра органов, расположенных глубоко внутри организма.
Во время эндоскопии эндоскоп вводится глубоко в организм через ротовое или другие отверстия с тем, чтобы можно было визуально изучать внутренние органы. Доступ во внутренние структуры обычно происходит через естественные отверстия, такие как рот или анальный канал, хотя иногда эндоскоп вводится и через небольшие отверстия в покровных тканях.
Первые эндоскопы были негнущимися, но 60-е годов прошлого века были разработаны гибкие инструменты. Хотя большинство эндоскопов сейчас гибкие, в определённых случаях предпочтительнее использовать жесткие эндоскопы, например, при осмотре органов, расположенных неглубоко от кожной поверхности, в частности, для исследования коленного сустава.
Существует множество типов эндоскопов, каждый из которых создан специально для осмотра определённой части организма. Гибкие и жесткие эндоскопы выглядят по-разному, но они имеют общие функции. Например, как гибкие, так и негнущиеся эндоскопы используют освещение, а также функции отражения и увеличения для того, чтобы ясно видеть структуры организма.
ГИБКИЕ ЭНДОСКОПЫ
Появление гибких эндоскопов стало возможным благодаря изобретению оптоволоконной технологии. В оптоволокне используются тонкие, гибкие волокна стекла или пластика, которые передают свет по всей своей длине благодаря внутреннему отражению. Основная часть гибкого эндоскопа состоит из длинной тонкой трубки, содержащей несколько каналов, идущих по всей длине. Специально предназначенные каналы эндоскопа содержат оптоволокно для передачи света или изображения через линзу. Другие каналы содержат провода, предназначенные для управления эндоскопом. Каналы также могут быть использованы для закачки или откачки воздуха или жидкости во внутренний полый орган или для введения по ним специальных инструментов, таких как щипцы или ножницы для получения кусочков ткани - биопсии.
Наиболее современные эндоскопы снабжены миниатюрной камерой, встроенной на конце, позволяющей врачу и пациенту видеть изображения внутренних органов на мониторе, а также делать видеозапись и хранить изображения для сравнения.
ДЛЯ ЧЕГО ПРИМЕНЯЮТ ГИБКИЕ ЭНДОСКОПЫ?
Гибкие эндоскопы используются для осмотра пищеварительного тракта и дыхательных путей, которые имеют анатомические изгибы. Жесткие эндоскопы используются для осмотра брюшной полости и суставов, когда обследуемая структура располагается недалеко от поверхности кожи.
Если во время эндоскопии была обнаружена аномалия, образцы тканей могут быть изъяты во время процедуры. В отдельных случаях представляется возможным проводить незамедлительное лечение. Инструменты могут быть введены либо через канал эндоскопа, либо через небольшие проколы или разрезы кожи, что позволяет врачто делать забор пробы ткани или извлечь инородное тело. Эндоскоп также может быть использован для введения контрастного вещества с целью получения детального рентгеновского снимка протоков поджелудочной железы или желчных протоков. Такой метод называется ретроградная панкреатохолангиорентгенография.
Некоторые хирургические процедуры, которые раньше рассматривались в качестве сложных операций и требовали большого разреза, теперь осуществляются намного быстрее и проще с помощью лапароскопов, которые относятся к категории жестких эндоскопов.
При исследовании желудка и двенадцатиперстной кишки, пацмента просят лечь на бок. Пациенту могут дать успокоительное или сделать местную анестезию, распылив лекарство на заднюю часть гортани. После этого гибкий эндоскоп через рот проводится по пищеварительному тракту.
КАКАЯ СУЩЕСТВУЕТ ОПАСНОСТЬ ЭНДОСКОПИЧЕСКОГО ИССЛЕДОВАНИЯ
Эндоскопия в основном безопасна, но в редких случаях эндоскоп может вызывать перфорацию (прободение) полых органов. Например, если эндоскоп находится в желудке, он может перфорировать его стенку. Такие случаи бывают крайне редкими и они требуют немедленного хирургического вмешательства для восстановления поврежденных тканей. В случаях, когда требуется забор ткани для исследований, может быть поврежден кровеносный сосуд, что ведет к кровотечению.
При некоторых эндоскопических осмотрах может потребоваться общая анестезия, что само по себе дает определенный риск. Поэтому врач должен убедиться в том, что состояние здоровья пациента позволяет ему подвергаться таким процедурам.
Жесткие эндоскопы обычно намного короче гибких эндоскопов и они чаще всего вводятся через надрезы на коже. Подобно гибким эндоскопам, жесткие эндоскопы используют оптоволоконное освещение. Однако инструменты для хирургических манипуляций вводятся через отдельный разрез, а не через каналы эндоскопа.
Для того чтобы увидеть поверхность различных внутренних органов или структур, при эндоскопии жестким эндоскопом применяется процедура расширения органов или полостей с помощью газа или жидкости. Это позволяет отделить ткани друг от друга. Например, воздух может быть закачан в брюшную полость во время лапароскопии для осмотра органов брюшной полости.
В последнее время более широко стали применять специальные роботы, с помощью которых можно проводить сложные лапароскопические операции. Наиболее известным примером хирургического робота является устройство «Да Винчи - робот». Это полностью роботизированная система, которая позволяет проводить сложные операции, такие как удаление желчного пузыря или замена клапанов сердца. При этом хирург может находиться у пульта управления в соседней комнате.
Некоторые виды медицинских исследований проводятся в рамках обычного осмотра. Например, врач может легко и быстро осмотреть ваши уши, глаза и горло прямо в своём кабинете. Врач применяет специальные инструменты, позволяющие детально осмотреть отдельные органы. Например, отоскоп используется для осмотра ушной полости, а офтальмоскоп - глаз.
Для исследования внутренних органов врач может направить вас на так называемое эндоскопическое обследование. Эндоскоп - это трубкообразное приспособление, с помощью которого можно проводить осмотр внутренних полых органов. Эндоскоп может быть гибким или негнущимся, иметь различную длину и диаметр. Каждый тип эндоскопа предназначен для исследования определенного органа.
+ ЭНДОСКОПИЧЕСКОЕ ИССЛЕДОВАНИЕ НАРУЖНЫХ ОРГАНОВ
Для изучения естественных отверстий организма, таких, например, как ушной канал, врачу обычно нужен источник света, который можно сфокусировать на осматриваемом участке. Кроме того, необходимо устройство, позволяющее увеличивать изображения. Эти два компонента (источник света и увеличитель) часто объединяются в один инструмент, такой как отоскоп, который используется для изучения ушного канала.
Для остальных естественных отверстий, таких как влагалище или носовая полость, врачу может понадобиться дополнительный инструмент, который позволяет держать отверстие открытым. В отдельных случаях такие приспособления используются для того, чтобы сделать доступ к органу более удобным, и позволить врачу взять образцы ткани для микроскопических исследований.
Чувствительную к свету сетчатку глаза, находящуюся на дне глазного яблока, можно осмотреть через расширенный зрачок. Инструмент, который при этом используется, называется офтальмоскоп. Он сочетает в себе увеличительные линзы и источник света.
Осмотр ушной полости
Во время обследования ваш врач может использовать специальное приспособление для осмотра ушной полости называемое отоскопом, который позволяет заглянуть внутрь уха и исследовать ушной канал и барабанную перепонку.
ДЛЯ ЧЕГО ИССЛЕДУЮТ НАРУЖНЫЕ ОРГАНЫ?
Врач может использовать инструменты осмотра как часть обычного медицинского обследования, для выявления симптомов и диагностики болезней. Например, если у вас боль в ухе, врач может осмотреть ушную полость с помощью отоскопа, а при хрипоте он может осмотреть гортань и голосовые связки с помощью ларингоскопа.
Помимо этого инструменты осмотра применяются для диагностики осложнений хронических заболеваний. Например, при диабете важно проверить глазное дно с помощью офтальмоскопа и щелевой лампы с тем, чтобы выявить заболевание сетчатки глаз на ранней стадии, которые могут быть вызваны диабетом.
При заболеваниях женских половых органов с помощью специального инструмента, который называется кольпоскопом, могут быть взяты образцы некоторых тканей.
Некоторые инструменты для осмотра снабжены специальными приспособлениями для фотографирования. это позволяет сравнивать снимки, полученные в различное время, и таким путем проследить динамику развития болезни.
Использование офтальмоскопа, отоскопа и других инструментов, применяемых для изучения глаз, ушной раковины и других органов, не несет какой-либо опасности для пациентов. Такие исследования можно проводить настолько часто, насколько это необходимо в целях наблюдения за развитием болезни. Указанные методы причиняют лишь лёгкий дискомфорт, либо не причиняют его вовсе, поэтому они не требуют специальных процедур обезболивания. Однако при исследовании гортани может быть применена местная анестезия, которая вызывает легкое чувство онемения.
Во время эндоскопии эндоскоп вводится глубоко в организм через ротовое или другие отверстия с тем, чтобы можно было визуально изучать внутренние органы. Доступ во внутренние структуры обычно происходит через естественные отверстия, такие как рот или анальный канал, хотя иногда эндоскоп вводится и через небольшие отверстия в покровных тканях.
Первые эндоскопы были негнущимися, но 60-е годов прошлого века были разработаны гибкие инструменты. Хотя большинство эндоскопов сейчас гибкие, в определённых случаях предпочтительнее использовать жесткие эндоскопы, например, при осмотре органов, расположенных неглубоко от кожной поверхности, в частности, для исследования коленного сустава.
Существует множество типов эндоскопов, каждый из которых создан специально для осмотра определённой части организма. Гибкие и жесткие эндоскопы выглядят по-разному, но они имеют общие функции. Например, как гибкие, так и негнущиеся эндоскопы используют освещение, а также функции отражения и увеличения для того, чтобы ясно видеть структуры организма.
ГИБКИЕ ЭНДОСКОПЫ
Появление гибких эндоскопов стало возможным благодаря изобретению оптоволоконной технологии. В оптоволокне используются тонкие, гибкие волокна стекла или пластика, которые передают свет по всей своей длине благодаря внутреннему отражению. Основная часть гибкого эндоскопа состоит из длинной тонкой трубки, содержащей несколько каналов, идущих по всей длине. Специально предназначенные каналы эндоскопа содержат оптоволокно для передачи света или изображения через линзу. Другие каналы содержат провода, предназначенные для управления эндоскопом. Каналы также могут быть использованы для закачки или откачки воздуха или жидкости во внутренний полый орган или для введения по ним специальных инструментов, таких как щипцы или ножницы для получения кусочков ткани - биопсии.
Наиболее современные эндоскопы снабжены миниатюрной камерой, встроенной на конце, позволяющей врачу и пациенту видеть изображения внутренних органов на мониторе, а также делать видеозапись и хранить изображения для сравнения.
ДЛЯ ЧЕГО ПРИМЕНЯЮТ ГИБКИЕ ЭНДОСКОПЫ?
Гибкие эндоскопы используются для осмотра пищеварительного тракта и дыхательных путей, которые имеют анатомические изгибы. Жесткие эндоскопы используются для осмотра брюшной полости и суставов, когда обследуемая структура располагается недалеко от поверхности кожи.
Если во время эндоскопии была обнаружена аномалия, образцы тканей могут быть изъяты во время процедуры. В отдельных случаях представляется возможным проводить незамедлительное лечение. Инструменты могут быть введены либо через канал эндоскопа, либо через небольшие проколы или разрезы кожи, что позволяет врачто делать забор пробы ткани или извлечь инородное тело. Эндоскоп также может быть использован для введения контрастного вещества с целью получения детального рентгеновского снимка протоков поджелудочной железы или желчных протоков. Такой метод называется ретроградная панкреатохолангиорентгенография.
Некоторые хирургические процедуры, которые раньше рассматривались в качестве сложных операций и требовали большого разреза, теперь осуществляются намного быстрее и проще с помощью лапароскопов, которые относятся к категории жестких эндоскопов.
КАКАЯ СУЩЕСТВУЕТ ОПАСНОСТЬ ЭНДОСКОПИЧЕСКОГО ИССЛЕДОВАНИЯ
Эндоскопия в основном безопасна, но в редких случаях эндоскоп может вызывать перфорацию (прободение) полых органов. Например, если эндоскоп находится в желудке, он может перфорировать его стенку. Такие случаи бывают крайне редкими и они требуют немедленного хирургического вмешательства для восстановления поврежденных тканей. В случаях, когда требуется забор ткани для исследований, может быть поврежден кровеносный сосуд, что ведет к кровотечению.
При некоторых эндоскопических осмотрах может потребоваться общая анестезия, что само по себе дает определенный риск. Поэтому врач должен убедиться в том, что состояние здоровья пациента позволяет ему подвергаться таким процедурам.
Жесткие эндоскопы обычно намного короче гибких эндоскопов и они чаще всего вводятся через надрезы на коже. Подобно гибким эндоскопам, жесткие эндоскопы используют оптоволоконное освещение. Однако инструменты для хирургических манипуляций вводятся через отдельный разрез, а не через каналы эндоскопа.
Для того чтобы увидеть поверхность различных внутренних органов или структур, при эндоскопии жестким эндоскопом применяется процедура расширения органов или полостей с помощью газа или жидкости. Это позволяет отделить ткани друг от друга. Например, воздух может быть закачан в брюшную полость во время лапароскопии для осмотра органов брюшной полости.
В последнее время более широко стали применять специальные роботы, с помощью которых можно проводить сложные лапароскопические операции. Наиболее известным примером хирургического робота является устройство «Да Винчи - робот». Это полностью роботизированная система, которая позволяет проводить сложные операции, такие как удаление желчного пузыря или замена клапанов сердца. При этом хирург может находиться у пульта управления в соседней комнате.
