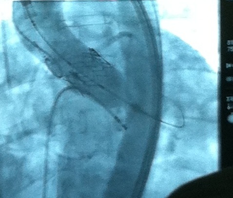
Сложная операция на сердце была проведена зарубежному представителю одной из крупнейших американских компаний в Казахстане. Операция была осуществлена в Центре кардиохирургии Национального медицинского холдинга в Астане. Накануне пациент,...
Вес человека в среднем в мире составляет 62 кг.
В Северной Америке средний вес - 80.7 кг, а в Азии - 57.7 кг.
Население Азии составляет...
Компания «Санофи» поддерживает образовательные семинары по вопросам сохранения женского здоровья
Сохранение здоровья женщин и обеспечение желанного материнства - приоритетная задача здравоохранения. При этом важную роль...
Репродуктивные процедуры, которые спасут детей от наследования митохондриальных заболеваний 12 июня получили предварительное одобрение влиятельного органа по биоэтике Великобритании.
Как пишет Michelle Roberts на сайте BBC News, американские учёные утверждают, что дети пожилых отцов "генетически запрограммированы" жить дольше детей, зачатых(родившихся) от молодых отцов.
Клинические испытания продемонстрировали, что противодиабетический препарат Lantus компании Sanofi SA снижал уровень глюкозы в крови в значительно большей степени, чем препарат Januvia компании Merck & Co у пациентов с ...
Новейшая технология сегодня внедрена в Национальном Центре Кардиохирургии Нацмедхолдинга: имплантирован...
