.

температура | zdrav.kz
X

Электрондық поштаңызға соңғы жаңалықтарды алыңыз

X

Получайте самые последние новости на свой e-mail

температура

Анықтамасы

Симптомдары

Асқынуы

Емі

 

Желшешек ауруы дегеніміз не ?Желшешек ауруы – герпес вирусының түрі-Varicella-zoster типімен шақырылған,тез таралатын жұқпалы ауру.Бұл вирустың жұғу жолдары науқас жөтелгенде,түшкіргенде және денесіндегі дақты көпіршікті өзгерістер сау адам денесіне жанасқанда жүзеге асады . Желшешек ауруы алғашқы 2-3 күнде өте жұқпалы,яғни науқас денесінде бөртпелер және дақты көпіршіктер пайда болғанға дейін.

Желшешек ауруы-негізінде балаларда көбірек кездеседі және қауіпсіз өтеді,ал жастарда,үлкендерде,екі қабат әйелдерде және иммундық жүйесінде ақауы бар адамдарда ауыр ағымда өтуі мүмкін. Желшешек көбінесе қыстың аяғында және көктемнің басында байқалады,осы уақытта өте жұқпалы болып табылады. Бұрын желшешек ауруымен ауырмаған адамдар вирус пен қатынаста болған кезде 80-90% жедел ауырады. Вирус адамға енген кезінде алғашқы симптомдар пайда болғанша білінбеуі мүмкін ол әдетте 14-16 күнге, кейде 10-21 күнге дейін созылуы мүмкін.

Симптомдары

Желшешек ауруының симптомдары мыналар: жоғарғы температура, әлсіздік және денеде көптеп таралған іші сұйықтыққа толы, қатты қышитын көпіршікті бөртпелердің пайда болуы .Бірнеше күннен кейін көпіршіктер жарылып,қабыршықталады және 1 апта көлемінде жаңа көпіршіктер қайтадан пайда болады. Науқас өзінде қандай да бір белгілер пайда болғанға дейін,вирусты тарата беруі мүмкін .

Асқынуы

Жоғарыда айтылғандай желшешек ауруы қатты қиындықтар тудырмайды,бірақ кейбір адамдарда ауыр ағымда өтуі мүмкін.Ондай адамдарға жастар,үлкендер және иммундық жүйесінде ақауы бар кез келген адамдар (СПИД пен ауыратындар немесе гормональды дәрілерді қабылдайтындар) жатады .Желшешек ауруының ең көп тараған асқыныуына денедегі көпіршіктер айналасындағы теріні зақымдайтын бактериальды инфекцияның пайда болуы жатады, ол ары қарай өкпеге, сүйекке,тіпті қанға дейін таралады.Басқа да асқынуларына вирустық өкпе тінінң қабынуы және бас миы тінінің қабынуы жатады .

Емі

Ауруының емі науқастағы бөрпелердің таралуына, жоғарғы температураға және әлсіздікке қарсы бағытталалды .Желшешек ауруын алдын алу мақсатында қарсы арнай екпе (вакцина ) қолданылады ол балаларға және әлі желшешек ауруымен ауырмаған жастарға , үлкен кісілерге қолданылады.

 

Тег:

 

Мазмұны

Жалпы ақпарат

Себептері

Симптомдары

Диагностика

Емдеу

Аурудың болжамы

Мүмкін асқынулары

Қашан дәрігерге көріну қажет

Алдын алу

 

Жалпы ақпарат

Парвовирустық инфекция (бесінші ауру) – бетте, қол-аяқта бөріткен пайда болуына апаратын  вирустық инфекциялық ауру.

Ауру көбінесе, мектепке дейінгі және мектеп жасындағы балаларда көктем кезінде байқалады. Ауру ауа-тамшы жолымен таралады және жеңіл түрде өтеді.

 

Парвовирустық инфекция – вирустық ауру, енжар симптомдармен және беттегі, қол-аяқтағы бөріткен дақтармен сипатталады.

 

Себептері

Ауру адамның B19 парвовирусымен жұқпалануда пайда болады.

 

Симптомдары

Парвовирустық инфекция кезінде келесі симптомдар байқалады:

 

  • Ашық түсті теңбіл бөріткен алдымен беттің ұшында пайда болады (бетті «алау» шалғандай). Одан кейін денеге, қол-аяққа тарайды. Парвовирустық инфекцияда ортадан шетке қарай жойылады, тор-шілтер тәрізденеді. Бөріткен 1-2 апта ішінде толығымен өтеді.
  • Қызба
  • Буынның ауырсынуы
  • Уақытша анемия (қанда функционалдық толыққұнды қызыл жасушалар-эритроциттердің мөлшері төмендейтін жағдай).

 

Диагностика

Ауруды анықтау үшін дәрігердің қарауы жеткілікті, себебі, парвовирустық инфекцияның тек өзіне ғана тән бөріткені болады. В19 парвовирусына қарсы антиденелерге (қандағы ақуыздық қосылыстар, олар бактериялар мен вирустар секілді бөгде организмдерді анықтап, жоюға мүмкіндік береді) қант талдауы диагнозды нақтылай алады.

 

Емдеу

Парвовирустық  инфекция кезінде арнайы емдеу қажет болмайды. Егер балада қызба болса, жағдайды жақсарту үшін қызуды түсіретін кез келген препарат берілуі мүмкін.

 

Аурудың болжамы

Көпшілік жағдайда қандай да бір асқынусыз толық сауығу орын алады. 

 

Мүмкін асқынулары

Балаларда ауру жиі жеңіл түрде өтсе де, кейде сирек асқынулар болады, алайда, егер парвовирустық инфекцияға жүкті әйел шалдықса, бұл ұрықтың дамуында күрделі бұзылыстарға апаруы мүмкін.

 

Қашан дәрігерге көріну қажет

Парвовирустық  инфекцияға күмән болатын жүкті әйел тезірек дәрігердің кеңесін алуы тиіс.

 

Алдын алу

Жұқпаланудың алдын алу үшін тамақ ішердің алдында және науқастармен қатынастан кейін қолды мұқият жуу қажет. 

Аныңтамасы

Себебі

Симптомдары

Диагностикасы

Емі

Болжам

Мүмкін болатын асқынулар

Қай кезде дәрігерге қаралу керек

Алдын алу

Аноректалді абсцесс сыртқы өтіс және тік ішек аймағында іріңнің жиналуы.

Себебі

Аноректалді абсцесстің ең жиі себебі болып табылады:

  • Сыртқы өтіс аймағындағы без өзектерінің бітелуі
  • Сыртқы өтіс аймағының инфекциялық қабынуы
  • Жыныстық жолмен берілетін инфекциялар
  • Жарақаттар
  • Крон ауруы немесе дивертикулит сияқты ішек ауруларымен шақырылған терең тік ішектік абсцесстер.

Төменде көрсетілген факторлар аноректалді абсцесс даму қаупін жоғарылатады:

  • Анальді жыныстық қатынас
  • Қатерлі ісікті емдеуге арналған химиотерапия препараттары
  • Диабет
  • Ішектің қабыну аурулары ( Крон ауруы және ойық жаралы колит)
  • Кортикостероидты препараттарды қабылдау
  • Иммундық жүйенің нашарлауы ( мысалы, АИТВ/ЖҚТВ)

Бұл ауру ерлер арасында жиірек кездеседі. Сонымен қатар жаялық төсейтін,анамнезінде сыртқы өтіс сызаттары пйда болу жағдайлары бар кішкентай сәбилер мен балалар арасында кездесуі мүмкін.

Симптомдары

Сыртқы өтіс аймағының томпаюы және тіннің ісінуімен бірге тұрақты, пульсирлеуші ауру сезімі. Ауру сезімі дефекация кезінде, жөтелгенде және отырған қалыпта күшеюі мүмкін.

http://www.zdrav.kz/images/refs3/anabscess.PNG

Сонымен қатар мынадай симптомдары болуы мүмкін:

  • Констипация (іш қату)
  • Тік ішектен ірің бөліну
  • Шаршағыштық, қызба, түнгі тершеңдік,қалтырау
  • Қызару, сезімталдықтың жоғарылауы және сыртқы өтіс аймағындағы тіннің қатаюы
  • Ауырсыну

Балаларда аноректалді абсцесс жиі ісінген, қызарған, тығыз сыртқы өтіс амағындағы түйін ретінде көрініс береді. Бала дискомфорт есебінен қозғыш және тітіркенгіш келеді. Аурудың басқа симптомдары болмауы да мүмкін.

Диагностикасы.

Аноректальді абсцестің болуы ректальді тексеріс кезінде анықталуы мүмкін. Басқа ауруларды жоққа шығару үшін ректороманоскопия жасалуы мүмкін.

Сирек жағдайда іріңнің жиналу аймағын анықтау үшін КТ, МРТ немесе УДЗ жасалады.

Емі.

Бұл мәселенің өздігінен шешілуі екіталай. Антиобиотиктер жалғыз абсцеспен күресе алмайды.

Емдеу принципі абсцесс қуысын ашып және дренаждауға негізделеді.

  • Ота жансыздануды шақыратын жергілікті анестезиямен седативті препараттың қосарлануы арқылы жүргізіледі. Сонымен бірге ми-жұлындық анестезия немесе жалпы наркоз қолданылуы мүмкін.
  • Жүргізілген хирургиялық ем амбулаторлық жағдайда болса, тура сол күні үйіңізге қайтуға болады. Хирург зақымдалған аймақты тіліп, іріңді дренаждайды.
  • Егер ірің терең тіндерде орналасса сізге іріңді толық дренаж жасағанша ауруханада қалуға тура келеді.
  • Отадан кейін сізге міндетті түрде жылы ванна қабылдау керек. Бұл ауруды басуға және тіндердің ісінуін басуға, абсцесстің жақсы дренажына көмектеседі.

Дренаждалған абсцесс ашық күйінде қалады, жиектері тігілмейді.

Хирург ауру сезімін басатын препарттар және антибиотиктер тағайындауы мүмкін.

Сізге іш айдайтын препараттар керек болуы мүмкін.міндетті түрде жеке гигиена ережелерін сақтау керек. Абсцесс жазылғанша тағам жұмсақ және сұйық тағамдардан құралғаны жөн.

Болжамы.

Дұрыс қарастырылған еммен жазылуы тез. Әсіресе бұл сәбилер мен кішкентай жастағы балаларға қатысты.

Емнің кеш басталуында асқыну қаупі бар.

Мүмкін болатын асқынулары

Аноректалді абсцесс асқынуларына жатады:

  • Анальді фистула (сыртқы өтіс пен басқа анатомиялық құрылымдар арасында аномальді ақпарат)
  • Инфекцияның жалпы қанайналымға түсуі (сепсис)
  • Тұрақты ауыру
  • Аурудың қайталануы
  • Тыртық

Қай кезде дәрігерге қаралу керек

Дәрігерге мынадай жағдайда қаралыңыз:

  • Тік ішектен бөлінділер пайда болғанда, ауырсыну, аноректалді абсцесстің басқа да симптомдары болғанда
  • Қызба, қалтырау немесе осы ауруды емдеуден кейін басқа симптомдар пайда болғанда
  • Қант диабеті қандағы қант деңгейін қадағалау қиын болғанда

Алдын алу

  • Жыныстық жолмен берілетін аурулардың алдын алғанда немесе др кезінде емдегенде аноректалді абсцесс пайда болуының алдын алуға болады. Жыныстық жолмен берілетін аурулардың алдын алу үшін жыныстық қатынас кезінде, соның ішінде аналді жыныстық қатынас кезінде презервативтер қолданыңыз.
  • Сәбилер мен кіші жастағы балалардың жиі жаялықтарын ауыстыру және жаялықтарын ауыстыру кезінде гигиенаны сақтау абсцесстер мен аналді сызаттардың пайда болуын алдын алады.

 

Ақпарат көзі: https://medlineplus.gov/ency/article/001519.htm

Аударған: Тилеубергенова Гулжазира Таңатарқызы

Мазмұны

Жалпы ақпарат

Себептері

Симптомдары

Диагностика

Емдеу

Аурудың болжамы

Мүмкін асқынулары

Қашан дәрігерге көріну қажет

Алдын алу

 

Жалпы ақпарат     

Пневмония немесе өкпенің қабынуы – өкпенің инфекциялық ауруы.

Өкпе  - кеуде қуысын толығымен алып жатқан қос ағза. Өкпе – тыныс алу жүйесінің басты ағзасы. Оның өлшемі мен пішімі тыныс алу фазасына (дем алу, дем шығару) байланысты өзгереді.

 

 

Өкпе бөліктерден тұрады. Оң өкпе үш бөлікке бөлінеді: жоғарғы, ортаңғы және төменгі, ал сол өкпе – үш бөлікке: жоғарғы және төменгі бөліктерге бөлінеді. Өкпенің бөліктері бронх-өкпе сегменттеріне бөлінеді, сегменттер – бөлікшелерге, ал бөлікшелер – ацинустарға. Ацинус ( лат. acinus — жүзім шоғы) – бір тыныс алу бронхиоласы, оның салалары, альвеола жолдары мен альвеола қалталары кіретін өкпенің бөлікшесінің бөлімі. Ауаның өкпеге түсуі: кеңірдек  басты бронхтарға бөлінеді, олар өкпеге өріле жалғасады, тарамдалады (бронх «бұтасы»), оң бас бронх үш тармақ түзеді, ал сол – екі тармақ түзеді. Әрі қарай тарамдар келесі тәртіпте бөлінеді: тармақтар – орта бронхылар – ұсақ бронхылар – тыныс алу бронхиолалары – альвеолалар жолдары, олардың әрқайсысы альвеолалық қалтамен аяқталады. Альвеола жолдарының және қалталарының қабырғасы альвеолалардан (көпіршіктер) тұрады. Осы альвеолаларда қан мен сырттан түскен ауа арасындағы  оттегімен көмір қышқыл газының арасында алмасу өтеді.

  

Пневмония көбінесе, екі жасқа жетпеген балаларда, 65 жастан асқан ересектерде және иммунитеті төмендеген адамдарда дамиды. Көбінесе, пневмонияның дамуы салқын тиюіне, вирустық ауруға, иммунитетті түсіретін дәрі қабылдауға байланысты.

Пневмония кезіндегі өлім-жітім 1-9% жетеді (100 адамнан пневмониядан 1-9 адамға дейін өлім-жітімге ұшырайды). Мұндай жоғары пайыз негізінен, медициналық көмекті уақытылы алмауына байланысты, сондай-ақ, басқа ауыр аурулар кезінде пневмонияның дамуымен байланысты.

Себептері

Пневмонияны туындатушы себептер көп. Аса кең таралғаны – тыныс алатын ауадағы бактериялар мен вирустар. Организм әдетте, өкпенің микробпен залалдануының алдын алады. бірақ, кейде микробтар иммундық жүйені күшейтеді, тіпті, жалпы денсаулық жақсы болғанның өзінде.

Пневмония оны туындатушы микробтың түріне және инфекцияны жұқтырған жеріне қарай жіктелінеді.

 

Аурухана сыртындағы (коммуналдық) пневмония

Аурухана сыртындағы пневмония – аса кең таралған түрі. Жұқпалану ауруханадан және басқа медициналық мекемелерден тыс жерде орын алады және келесі себептерден туындайды:

•        Пневмококктар секілді бактериялар (Streptococcus pneumonia). Бактериалдық аурухана сыртындағы пневмония өз бетінше немесе суық тиюден кейін пайда болуы мүмкін. Пневмонияның бұл түрі көбінесе, өкпенің бір бөлігін қамтиды және бөліктік  пневмония аталады.

•        Микоплазмалар – әдетте, пневмонияның басқа түріне қарағанда жеңіл белгілер мен симптомдарды туындатады. "Аяқта жүріп өткізген пневмония", - төсекке жату қажет болмаған, аса күрделі емес пневомонияны сипаттайтын термин. Мұндай пневмония, әдетте, микоплазманы жұқтыру нәтижесі болады.

•        Вирустар, оның ішінде, суық тию ауруын және тұмауды туындататын вирустардың бір түріне жататындары. Вирустар – 2 жасқа дейінгі балаларда пневмонияның жиі себебі. Вирустық пневмония, әдетте, жеңіл. Бірақ, ауыр жіті респираторлық синдром секілді тұмаудың ауыр вирустарынан (ТОРС или SARS) туындайтын  вирустық пневмонияның барысы ауыр сипатта болуы мүмкін.

•        Топырақ пен құс тезегінде болатын зеңдер. Пневмонияның бұл түрі – жалпы денсаулығында мәселе болатын немесе иммундық жүйесі әлсіреген адамдарда, сондай-ақ, тыныс алғанда осы қоздырғыштың үлкен мөлшерін демімен ішіне тартқан адамдарда кең таралған.  

 

Аурухана ішілік (госпиталдық немесе нозокомиалдық) пневмония

Аурухана ішілік пневмония - бактериалдық инфекция, адамдарда ауруханаға жатқызылғаннан кейін алғашқы 48 сағат ішінде пайда болады. Аурухана ішілік пневмония – күрделі ауру, себебі, оны туындататын бактериялар антибиотиктерге тұрақтырақ болуы мүмкін.

Қарқынды терапия бөлімшелерінде қолданылатын өкпенің жасанды вентиляциясында болатын адамдар пневмонияның осы түрінің жоғары қаупіне ұшырайды. 

 

Институционалдық пневмония

Институционалдық пневмония бактериалдық инфекциядан туындайды. Ол көбінесе, науқастарға ұзақ күтім жасалатын, мысалы, бүйрек диализі секілді жерлердегі адамдарда пайда болады. Аурухана ішілік пневмония секілді институционалдық пневмония да антибиотиктерге тұрақты бактериялардан туындауы мүмкін.

 

Аспирациялық пневмония

Аспирациялық пневмония тамақты, суды, құсықты немесе сілемейді өкпеге деміңізбен ішке қарай жұтып, өкпеңізге өткізіп алғанда пайда болады. Бұл қалыпты құсу рефлексіне бассүйек-ми жарақаты, жұтудағы мәселелер немесе алкоголь мен есірткі кедергі келтіргенде орын алуы мүмкін.

 

Қауіп факторлары

Пневмониия кез келген жастағы адамда пайда болуы мүмкін. Бірақ, екі жас тобы ең үлкен қауіпке бейім:

•        2 жасқа дейінгі сәбилар, себебі, олардың иммундық жүйесі даму үстінде

•        65 жастан асқан адамдар.

Басқа қауіп факторлары:

•        Астма (демікпе), өкпенің созылмалы обструктивті ауруы және жүрек ауруы  секілді созылмалы аурулар;

•        Иммундық жүйенің әлсіреуі немесе бәсеңдеуі, АИТВ / ЖИТС, ағза ауыстыру, қатерлі ісіктің химиотерапиясы немесе стероидтарды ұзақ мерзімді қолдану секілді факторлардың салдарынан;

•        Темекі шегу, оның салдарынан организмнің бактерияларға және вирустарға қарсы қорғаныс күші бұзылады;

•        Ауруханада өкпенің жасанды вентиляциясында болу.

 

Симптомдары

Көптеген адамдар өкпенің қабынуын жоғары температура мен күшті жөтел бойынша білуге болады деп қате санайды, алайда, көбінесе, бұл аурудың симптомдары жеңіл суық тиюге ұқсайды. Өкпенің қабынуына шалдығу күзде ауа райы нашарлай бастағанда артады.  

 

Бактериалдық  пневмонияның симптомдары (белгілері) жіті және біртіндеп пайда болуы мүмкін. Оған кіретіндер:

·           қызба (дене температурасының 390С-тан жоғарылауы), кейде, керісінше, дене температурасының төмендеуі (әдетте, 65 жастан асқан адамдарда кездеседі)

·         дірілдеу,

·         кеудедегі жіті ауырсыну, қою, сарғыш немесе жасыл қақырықпен жөтел,

·         жиілеген пульс және тыныс алудың жиілеуі,

·         күшті терлеу,

·         ерін мен тырнақтың көкшілдігі.

 

Вирустық пневмонияға тән:

·      температураның артуы,

·         құрғақ жөтел,

·         бас ауыруы,

·         бұлшық ет ауырсынуы,

·         әлсіздік,

·         қажу және күшті ентігу.

 

Микоплазмалардан туындайтын  пневмонияның симптомдары бактериалдық және вирустық пневмонияның симптомдарына, көбінесе, ұқсас келеді, бірақ, әдетте әлсіздеу.

 

Диагностика

Тексеру кезінде дәрігер кеудені тыңдағанда көпіршікті сырылды анықтайды (өкпеде қою сұйықтық болуын білдіретін дыбыс).

Дәрігер қосымша тексеруді тағайындайды (аурудың білінген симптомдарын ескерумен):

·         қан талдауы. Лейкоциттердің артуы (ақ қан жасушалары) қабыну үрдісінің болуын білдіреді.

·         Кеуде қуысы ағзаларының рентгені (рентгенография) – ауруды анықтаудың негізгі әдісі. Пневмонияда рентгенограммада қабыну ошағы анық көрінеді (бұл бөліктік қабыну болуы мүмкін, ол жергілікті түрде өкпенің бір бөлігінде дамиды, немесе үлкенірек үрдіс болуы мүмкін). Кейде рентгенографияда  пневмонияның асқынуы – гидроторакс анықталады (өкпе мен кеуде қуысының ортасындағы плевра қуысында сұйықтықтың жиналуы). Бұл жағдайда плевра қуысының пункциясы жасалады, және сұйықтық ұзын инемен алынады. Қажет болса, хирургиялық араласу өткізіледі, және сұйықтық плевра қуысынан операциялық жолмен алынады.

·         Науқас  жөтелгенде жиналған қақырық талдауы  пневмонияның себебін анықтайды (бактериялардың, вирустар мен микроорганизмдердің болуы инфекциялық үрдісті білдіреді).

·         Бронхоскопия -  науқастың мұрны немесе аузы арқылы енгізілген жіңішке түтік арқылы дәрігер бронхыны қарайды және қажет болса, қабыну ошағынан сілемей алуы мүмкін.

·         Өкпенің компьютерлік томографиясы – ұзақ уақыт бойы жазылмайтын пневмонияда өкпені егжей-тегжейлі қарауға мүмкіндік береді.

 

Емдеу

Аурухана сыртындағы (коммуналдық) пневмонияға шалдыққан адамдарды әдетте, үй жағдайында дәрінің көмегімен емдеуге болады. Симптомдарыңыз бірнеше күн немесе апта ішінде жеңілдегенімен, әлсіздік бірнеше ай немесе одан артыққа созылуы мүмкін.

Кейіннен өкпенің инфекциядан тазаруын білу үшін дәрігер кеуде қуысының рентгенографиясын өтуді ұсынады. Емдеуді тоқтату үшін бұл жеткілікті болуы мүмкін, өкпенің рентген суреті толық қалпына келмесе де. Емдеуге  28 күн өткенде кеуде  қуысының рентгенографиясы аурухана сыртындағы (коммуналдық) пневмонияға шалдыққан адамдардың жартысында ғана  қалпына келеді.

Нақты шаралар пневмонияның түріне және ауырлығына, жасқа және денсаулықтың жалпы жағдайына байланысты. Оған жататындар:

•        Бактериалдық  пневмонияны емдейтін антибиотиктер. Қолдану басында пневмонияның себебі болған бактерияның түрін анықтауға және оны емдеуге оңтайлы антибиотик таңдауға уақыт кетеді. Көбінесе, үш күн ішінде жағдай жақсарады, бірақ, темекі шегетіндерде жақсаруға екі еседен артық уақыт кетеді.  Егер симптомдарыңыз жақсармаса, дәрігер басқа  антибиотикті ұсынуы мүмкін.

•        Вирустық  пневмонияны емдейтін вирусқа қарсы препараттар. Мұндай науқастарда жақсару бір-үш апта ішінде орын алады.

•        Ыстықты түсіретін препараттар, аспирин немесе ибупрофен секілді.

Жөтелге қарсы дәрілер. Демалу үшін жөтелді басатын дәрілер. Бірақ, жөтелді толығымен жойған жөн, себебі, жөтел өкпеден сұйықтық шығуына, оның тазаруына ықпал етеді.

 

Ауруханаға жатқызу

Ауруханаға жатқызу қажет болады, егер:

•        65 жастан асқан болсаңыз

•        Уақытты, орынды, адамдарды танымайтындай естің қалыпты болмауы

•        ішетін антибиотик қабылдауға кедергі келтіретін құсу мен жүрек айнуы болса

•        жоғары артериалдық қысым болса

•        өте жиі тыныс алу, ентігу

•        өздігінше тыныс алу қиын

•        температура нормадан төмен.

Егер науқасты өкпенің жасанды вентиляциясына қосу қажет болса, жағдайы ауыр болса, аурухананың қарқынды емдеу бөлімшесіне жатқызу қажет болуы мүмкін.

 

Балалар ауруханаға жатқызылуы мүмкін, егер:

·         жасы 3 айлыққа дейін болса

·         ұйқы басуы болса

·         тыныс алуында мәселе байқалса

·         қандағы оттегінің деңгейі төмен

·         сусыздану белгілері байқалса

·         дене температурасы нормадан төмен.

Өмір салты және үй құралдары

Тез қалпына келу және асқыну қаупін азайту үшін:

•        көбірек демалыңыз. Жақсы сезіне бастағанның өзінде абай болу қажет, жүктемені арттыруға болмайды.

•        Температура қалыпты болып, қақырықты жөтел басылғанымен, үйде болыңыз. Пневмония қайталануы мүмкін, жағдай түпкілікті жақсарғанша толық жұмыс жүктемесіне оралуға болмайды. Емдеуші дәрігермен кеңесу қажет.

•        Сұйықтықты көбірек ішіңіз, өкпедегі қақырық түзілуін және шығуын жеңілдету үшін.

•        Дәрігер тағайындаған дәрілік препараттарды қатаң қабылдау қажет. Егер дәрі қабылдауды ерте тоқтатса, өкпеде бактериялар қалады және пневмония қайталануы мүмкін.

 

Аурудың болжамы

Пневмония өкпенің жағынан бірқатар асқынуды туындатуы мүмкін. Аса ауыр асқынуы – тыныс алу жеткіліксіздігінің дамуы. Пневмонияда оның дамуы өкпенің және жүректің қосарланған созылмалы аурулары бар егде жастағы науқастарда аса ықтимал. Тыныс  алу жеткіліксіздігі мұндай науқастарда өлім-жітімнің себебі болуы мүмкін. Сондай-ақ, өлім-жітімге жүрек-қантамыр жеткіліксіздігінің (жүрек жұмысының бұзылысынан туындаған қан айналымының күрт пайда болуы) дамуы апаруы мүмкін.

 

Мүмкін асқынулары

Көбінесе, пневмонияға шалдыққан науқастарды дәрінің көмегімен табысты емдеуге болады. Бірақ, кейбір адамдарда, әсіресе, жоғары қауіп топтарындағы адамдарда келесі асқынулар пайда болуы мүмкін:   

•        Қандағы бактериялар (бактериемия). Қан ағымына өкпеден түсетін бактериялар инфекцияны басқа ағзаларға таратуы мүмкін, бұл ішкі ағзалардың ауыр бұзылыстарына апаруы мүмкін.

•        Өкпенің абсцессі. Абсцесс ірің толған қуыс түзілуімен өкпе тінінің бұзылысқа ұшырауы кезінде пайда болады. Абсцесс, әдетте, антибиотиктердің көмегімен емделеді. Кейде хирургиялық әдістер немесе іріңді жою үшін абсцесс аумағына ұзын инемен немесе түтікпен дренаж жасаумен.

•        Өкпе маңайында сұйықтық жиналуы (плеврит). Пневмония өкпе мен кеуде қуысындағы (плевра) тін қабаттарының арасындағы жіңішке кеңістікте сұйықтық жиналуына апаруы мүмкін. Егер сұйықтық жұқпаланған болса, немесе көп болса, оны хирургиялық жолмен ұзын иненің көмегімен алу қажет болуы мүмкін.  

•        Тыныс алудың қиындауы. Егер пневмония ауыр дәрежелі болса немесе өкпенің созылмалы аурулары болса, тыныс алуда мәселелер және организмнің оттегімен жеткіліксіз қамтамасыз етілуі пайда болуы мүмкін. Науқасты ауруханаға жатқызу және өкпенің жасанды вентиляциясына қосу қажет болуы мүмкін, емдеп жазылғанға дейін.

 

Алдын алу

Пневмонияның алдын алу үшін ұсынылады:

•        Тұмауға қарсы маусымдық вакцинацияны өткізу. Тұмау вирусы вирустық пневмонияның тікелей себебі болуы мүмкін. Бактериалдық пневмония, сондай-ақ, тұмаудың жиі себебі. Тұмаудан вакцинация жүргізу организмнің айтарлықтай қорғанысын береді.

•        Пневмонияға қарсы егілуге болады. Дәрігерлер стрептококктық пневмонияға қарсы (пневмококктық вакцина) бір реттік  вакцинаны 65 жастан асқан адамдардың бәріне, сондай-ақ, қарттар үйінде тұратын және ұзақ медициналық күтім көрсетілетін медициналық мекемелердегі кез келген жастағы адамдарға, сондай-ақ, темекі шегетіндерге егуді ұсынады. Вакцина әсіресе, пневмококкты пневмония бойынша қауіп тобындағы адамдарға ұсынылады. Кейбір дәрігерлер қайта вакцинацияны алғашқыдан кейін бес жыл өткенде өткізуді ұсынады.

•        Балаға вакцина егу қажет. Дәрігерлер 2 жасқа дейінгі балалардың барлығына және 2-5 жас аралығындағы пневмококкты пневмония бойынша қауіп тобындағы балаларға түрлі вакциналарды ұсынады. Бала бақшаға баратын балалар да вакцина алуы қажет. Сонымен қатар, дәрігерлер алты айдан асқан балаларға маусымдық егуді ұсынады.

•        Тазалық сақтау қажет. Пневмонияға апаратын қарапайым респираторлық инфекциялардан қорғау үшін  ұдайы қол жуып, немесе қолға арналған спирт негізіндегі зарарсыздандыратын құралды қолдану қажет.

•        Темекі шекпеңіз. Темекі шегу респираторлық инфекцияға қарсы өкпенің табиғи қорғанысын зақымдайды.

•        Демалып, сымбатыңызды сақтайтын күйде болыңыз. Дұрыс демалыс, салауатты тамақтану және орташа дене жүктемелері иммундық жүйені нығайтуға көмектеседі.

Үлгі көрсетіңіз. Ауырсаңыз, үйде қалыңыз. Егер қоғамдық орындарда болсаңыз, және суық тиген болса, жөтелгенде және түшкіргенде ауыз бен мұрынды шынтағыңыздың ішкі жағымен жабуға тырысыңыз. 

 

Ақпарат көзі: АҚШ Ұлттық денсаулық институттарының мәліметтер қоры:

http://www.nhlbi.nih.gov/health/health-topics/topics/pnu/

 

Материалды дайындағандар: Александр Корольков, HealthСity жобасының дербес үйлестірушісі;  Салтанат Хишина, HealthСity жобасының дербес үйлестірушісі.

Редакциялық алқа:

Алмаз Шарман, медицина профессоры

Ләзат Ақтаева, м.ғ.д.

Шыңғыс Жұмағұлов, zdrav.kz порталының контент-менеджері.

Contents

Causes

Symptoms

Exams and Tests

Treatment

Outlook (Prognosis)

Possible Complications

When to Contact a Medical Professional

Prevention

 

An anorectal abscess is a collection of pus in the area of the anus and rectum.

Causes

Common causes of anorectal abscess include:

  • Blocked glands in the anal area

  • Infection of an anal fissure

  • Sexually transmitted infection (STD)

  • Trauma

Deep rectal abscesses may be caused by intestinal disorders such as Crohn disease or diverticulitis.

The following factors increase the risk for an anorectal abscess:

The condition affects men more than women. The condition may occur in infants and toddlers who are still in diapers and who have a history of anal fissures.

Symptoms

Common symptoms are swelling around the anus and a constant, throbbing pain with swelling. Pain may be severe with bowel movements, coughing and sitting.

Other symptoms may include:

  • Constipation

  • Discharge of pus from the rectum

  • Fatigue, fever, night sweats, and chills

  • Redness, painful and hardened tissue in the area of the anus

  • Tenderness

In infants, the abscess often appears as a swollen, red, tender lump at the edge of the anus. The infant may be fussy and irritable from discomfort. There are usually no other symptoms.

Exams and Tests

A rectal examination may confirm an anorectal abscess. A proctosigmoidoscopy may be done to rule out other diseases.

In rare cases, a CT scan, MRI, or ultrasound is needed to locate the collection of pus.

Treatment

The problem rarely goes away on its own. Antibiotics alone usually cannot treat an abscess.

Treatment involves surgery to open and drain the abscess.

  • Surgery is done using local numbing medicine, along with medicine to make you sleepy. Spinal or general anesthesia may be used.

  • Surgery is most often an outpatient procedure, which means that you go home on the same day. The surgeon cuts open the abscess and drains the pus.

  • If the pus collection is deep, you may need to stay in the hospital until the abscess has completely drained.

  • After surgery, you need warm sitz baths (sitting in a tub of warm water). This helps relieve pain, reduce swelling, and make the abscess easier to drain.

Drained abscesses are usually left open and no stitches are needed.

The surgeon may prescribe painkillers and antibiotics.

You may need stool softeners. Practice good hygiene. Eat soft or liquid foods until the abscess has healed.

Outlook (Prognosis)

With prompt treatment, people with this condition usually do well. Infants and toddlers usually recover quickly.

Complications can occur when treatment is delayed.

Possible Complications

Complications of anorectal abscess may include:

  • Anal fistula (abnormal connection between the anus and another structure)

  • Infection that spreads to the blood (sepsis)

  • Continuing pain

  • Problem keeps coming back (recurrence)

  • Scars

When to Contact a Medical Professional

Call your provider if you:

  • Notice rectal discharge, pain, or other symptoms of anorectal abscess

  • Have fever, chills, or other new symptoms after being treated for this condition

  • Are a diabetic and your blood glucose becomes difficult to control

Prevention

Prevention or prompt treatment of STDs may prevent an anorectal abscess from forming. Use condoms during intercourse, including anal sex, to prevent such infections.

In infants and toddlers, frequent diaper changes and proper cleaning during diaper changes can help prevent both anal fissures and abscesses.

 

Source: https://medlineplus.gov/ency/article/001519.htm

Мазмұны

Жалпы ақпарат

Себептері

Симптомдары

Диагностика

Емдеу

Аурудың болжамы

Мүмкін асқынулары

Қашан дәрігерге көріну қажет

Алдын алу

 

Жалпы ақпарат

Пародонттық абсцесс – тіс пен қызыл иектің арасындағы кеңістікте ірің толған қуыс (қалта тәрізді ошақ), бактериалдық инфекцияның түсуінен қызыл иектің іріңді қабынуының нәтижесінде түзіледі.

Пародонттық абсцесс алдымен нақты бір тістің астында орналасады, ісініп, қызарған, домалақ пішінді түзіліс түрінде болады. Тіске тигенде пародонттық абсцесс күшті ауырсыну береді. Пародонттық абсцесс асқынғанда үлкен өлшемге жетіп, бет пішінін өзгертуі мүмкін.

Пародонт – тісті қоршап, оны төменгі және жоғарғы иектің сүйегінде бекітетін тіндер.  Пародонтқа келесі тіндер кіреді: қызыл иек, сүйек тіні, тістің тамыры мен сүйектің арасындағы байлам, тіс тамырының цементі. Бактериялар тістің ішкі бөлігіне терең қуыс, тістегі сызат немесе жарылу арқылы түсуі мүмкін. Инфекция түсуінің нәтижесінде пародонтта  абсцесс дамуы мүмкін (пародонттық абсцесс).

 

Себептері

Пародонттық абсцесстің себептері:

·       Қызыл иектің түрлі аурулары (гингивит – қызыл иектің беткері қабынуы; пародонтит – пародонтты қамтитын қабыну үрдісі; пародонтоз — пародонттың қоректенуінің бұзылысы, оған қызыл иектің түсуі, тіс мойындарының ашылуы тән)

·       Қызыл иектің механикалық жарақаты, оның ішінде, күйіктер.

·       Пломба қойған кездегі протезисттің немесе стоматологтың сапасыз жұмысы, пломбаның шеті жанасқанда ұдайы қызыл иекті зақымдайды.

 

Пародонттық абсцесстің дамуының қауіп факторларына жататындар:

·       Ауыздың нашар гигиенасы

·       Қанттың көп мөлшері бар тамақтану рационы

 

Симптомдары

Пародонттық абсцесс кезінде келесі жайттар байқалады:

·       Күшті, солқылдап ауыру

·       Ыстық, суық өнімдер мен сусындарды тұтынғандағы тістің асқан сезімталдығы

·       Тісті және қызыл иекті басқандағы, сондай-ақ, тағамды шайнағандағы асқан сезімталдық

·       Қызба

·       Пародонттық абсцесс аумағындағы беттің ісінуі

·       Иек астылық және мойын лимфа түйіндерінің ұлғаюы (бұл иммундық жүйенің ағзасы, негізгі қызметі тосқауылдық-сүзгілік, яғни, лимфа ағыны жолымен бактерияларды және басқа бөгде заттарды ұстап қалады)

·       Абсцессты жару тіс ауыруын жеңілдетеді

 

Диагностика

Пародонттық абсцесс стоматологтың қарауы кезінде сыртқы белгілері бойынша жеңіл анықталады.

Қарау кезінде дәрігер анықтайды:

·       Ауру тісті аздап басады (науқас абсцесс аумағында күрт ауырсынуды сезінеді)

·       Науқасты тіс рентгеніне бағыттайды. Ауру тістің рентгені абсцесстің орналасуын, оның таралуын анықтауға көмектеседі.

 

Емдеу

Пародонттық абсцессті емдеуді тек дәрігер тағайындайды. Өз бетіңізше емделуге болмайды, іріңді қалтаны өз бетіңізше жаруға тырыспаңыз, бұл күрделі салдарға апаруы мүмкін.

Пародонттық абсцессті стоматологиялық емдеу ірің қалтаны хирургиялық жаруға және ішіндегі іріңді сыртқа шығаруға негізделеді. Одан кейін қуыс бактерияларды жоятын (антисептик) дәрілік ерітіндімен шаю арқылы тіршілігін жойған тіндерден мұқият тазартылады. Жоғарыда келтірілген ем-шаралардан басқа дәрігер қабынуға қарсы емдеуді тағайындайды.

 

Аурудың болжамы

Пародонттық абсцессті уақытылы және дұрыс емдеудің нәтижесі – толығымен сауығу. Емдеу кеш басталса, абсцесс созылмалы сатыға өтуі мүмкін, бұл кезде инфекция бүкіл организмге таралуы мүмкін, бұл ауыр салдарға апарып, қиын емделеді.

 

Мүмкін асқынулары

Пародонттық абсцессті уақытылы жарып, алмаса, инфекция қан ағымына түсіп, бүкіл денеге тарайды (сепсис). Иммунитеттің әлсіздігінде инфекцияның таралу қаупі арта түседі.

Уақытылы  медициналық жәрдем жасалмаса, пародонттық абсцессте келесі асқынулар болуы мүмкін:

 

·       Иектің остеомиелиті (иектің сүйек тінінің қабынуы)

·       Ауыз қуысының флегмонасы (тіл астылық және иек астылық аумақтың тіндерінің жайылған іріңді қабынуы)

 

Қашан дәрігерге көріну қажет

Дәрігерге көрініңіз, егер:

·       Абсцесс аумағында күшті ауырсыну, қызба және ісіну болса

·       Тыныс алуда немесе жұтуда мәселе болса. Бұл белгілер инфекция иекке және қоршайтын тіндерге терең таралуын нұсқауы мүмкін.

 

Алдын алу

Пародонттық абсцесстің алдын алу үшін алдымен ауыз қуысының мұқият гигиенасын қадағалау және қызыл иектің жағдайын бақылау қажет.

·       Тісті күніне екі рет, фтор құрамдас тіс пастасымен тазалау қажет.

·       Күнделікті тістің арасындағы астың қалдығын тазалау үшін жіпті қолдану қажет.

·       Тіс щеткасын 3-4 ай сайын, қылы тозған сайын ауыстырып отыру қажет.

·       Тәттіні шектеп, тек салауатты тағамды тұтыну қажет.

·       Ұдайы қарап отыру және тісті кәсіптік тазалау үшін стоматологқа барып тұру қажет.

·       Тіс эмалін бұзылудан қосымша қорғау үшін ауызды шаю үшін түрлі ерітінділерді қолданыңыз.

 

Jaundice is a yellow color in the skin, mucus membranes, or eyes. The yellow color comes from bilirubin, a byproduct of old red blood cells. Jaundice is a sign of other diseases.

This article discusses the possible causes of jaundice in children and adults. Newborn jaundiceoccurs in very young infants.

 

Information

Jaundice is often a sign of a problem with the liver, gallbladder, or pancreas. Jaundice can occur when too much bilirubin builds up in the body. This may happen when:

·         There are too many red blood cells dying or breaking down and going to the liver.

·         The liver is overloaded or damaged.

·         The bilirubin from the liver is unable to properly move into the digestive tract.

Conditions that can cause jaundice include:

·         Infections of the liver from a virus (hepatitis Ahepatitis Bhepatitis Chepatitis D, and hepatitis E) or a parasite

·         Use of certain drugs (such as an overdose of acetaminophen) or exposure to poisons

·         Birth defects or disorders present since birth that makes it hard for the body to breakdown bilirubin (such as Gilbert syndromeDubin-Johnson syndrome, Rotor syndrome, or Crigler-Najjar syndrome)

·         Liver damage

·         Gallstones or gallbladder disorders

·         Blood disorders

·         Cancer of the pancreas

·         Bile build-up in the gallbladder because of pressure in the belly area during pregnancy (jaundice of pregnancy)

 

Alternative Names

Causes of jaundice

 

 Source: https://www.nlm.nih.gov/medlineplus/ency/article/007491.htm

Fifth disease is an illness caused by a virus that leads to a rash on the cheeks, arms, and legs.

Causes

Fifth disease is caused by human parvovirus B19. It often affects preschoolers or school-age children during the spring. The disease is spread by contact with respiratory secretions.

The first sign of the disease is usually bright red cheeks, which look as though the child has been recently slapped on both sides of the face. Following this, a rash appears on the arms and legs and middle of the body. The rash fades from the center outwards, giving it a lacy appearance. Over a period of 1 to 2 weeks, the rash completely goes away.

Fifth disease is also sometimes associated with fever.

If a pregnant woman becomes infected with parvovirus B19, it can cause significant harm to her unborn baby. Any pregnant woman who believes that she may have been in contact with a person who has this virus should talk to her health care provider.

Parvovirus B19 is also thought to cause other diseases, including an infectious form of arthritis.

The majority of adults seem to have antibodies to parvovirus B19 in their bodies. This indicates that most people have been exposed to the virus, and also suggests that many infections go unnoticed.

Symptoms

  • Rash

  • First appears on the cheeks, often looks like "slapped cheeks"

  • Spreads to the arms and legs about 1 day later, often has a "lacy" appearance

  • Fever

  • Joint pain

  • Temporary anemia -- this is only serious if the patient has an immune system problem and some other, existing form of anemia

Exams and tests

Fifth disease causes a very distinct rash. Your health care provider will examine the appearance and pattern of the rash. This is usually all that is needed to make a diagnosis.

Blood tests that look for antibodies against parvovirus B19 may indicate infection. However, these tests are usually not needed, although they may be helpful in the diagnosis of aplastic crisis and persistent anemia.

Testing may also be done when there is a question of whether a pregnant woman has been exposed to the virus.

Treatment

No treatment is usually required for fifth disease in children. If fever or joint discomfort is present, then oral acetaminophen (such as Tylenol) may be given.

Outlook (prognosis)

Since this is a mild and generally benign viral infection, complete recovery can be expected.

Содержание

Общая информация

Причины

Симптомы

Диагностика

Лечение

Прогноз заболевания

Возможные осложнения

Когда обращаться за врачебной помощью

Профилактика

 

Общая информация

Острый панкреатит – это острое воспалительное заболевание поджелудочной железы.

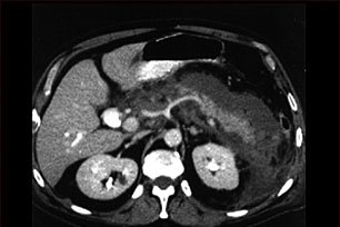
Данное изображение- это компьютерная томография верхней части брюшной полости, на которой четко диагностируется воспаление и отечность тканей поджелудочной железы, вызванной острой инфекцией (панкреатит).

 

Причины

Поджелудочная железа располагается позади желудка и вырабатывает пищеварительные (энзимы) и гормональные ферменты, такие как инсулин и глюкагон. Активные энзимы (пищеварительные ферменты) поступают в просвет тонкой кишки и являются важным звеном в процессе переваривания пищи.

Если ферменты активизируются в поджелудочной железе, то происходит самопереваривание тканей поджелудочной железы, что приводит к отеку, кровоизлиянию, повреждению поджелудочной железы и ее кровеносных сосудов.

Острый панкреатит чаще возникает у мужчин, чем у женщин. Отдельные заболевания, оперативные вмешательства, пагубные привычки и неправильное питание увеличивают риск развития данного заболевания.

Заболевание чаще всего вызвано алкоголизмом и злоупотреблением алкоголем (в США -70% случаев). Также на развитие заболевания оказывает влияние генетический фактор. В других случаях причина остается неизвестной.

Другие заболевания, вызывающие панкреатит:

Дополнительные причины:

  • Осложнения муковисцидоза
  • Гемолитико- уремический синдром
  • Гиперпаратиреоз
  • Болезнь Кавасаки
  • Синдром Рея
  • Употребление определенных лекарственных препаратов (особенно, эстрогены, кортикостероиды, мочегонные препараты, такие как тиазид и имуран)
  • Вирусные инфекции, включая паротит (свинку), вирусы Коксаки, микоплазменные пневмонии и кампилобактерии.

 

Симптомы

Главный и основной симптом панкреатита – острая боль в левом подреберье или в середине живота.

Боль:

  • Усиливается через несколько минут после употребления жирной пищи или напитков
  • Постоянная и продолжается в течение нескольких дней
  • Усиливается в положении, лежа на спине
  • Может иррадиировать (распространяться) в спину или в область ниже левой лопатки

У людей с острым панкреатитом наблюдается лихорадка, тошнота, рвота и повышенное потоотделение.

Дополнительные симптомы, проявляющиеся при этом заболевании:

  • Стул землистого цвета
  • Повышенное газообразование
  • Отрыжка
  • Расстройство пищеварения
  • Умеренное пожелтение кожных покровов и склер (желтуха)
  • Кожная сыпь или язвочки
  • Вздутие живота

 

Диагностика

При физикальном осмотре врач может обнаружить:

  • Чувство болезненности в брюшной полости или припухлость
  • Лихорадку
  • Снижение давления
  • Учащенное сердцебиение
  • Учащенное дыхание

Лабораторные анализы показывают количество выделяемых ферментов поджелудочной железы:

  • Повышение уровня амилазы крови
  • Повышение уровня липазы сыворотки крови
  • Повышения уровня амилазы в моче

Дополнительные лабораторные анализы помогают диагностировать осложнения панкреатита:

  • Общий анализ крови (ОАК)
  • Полная ферментативная панель крови

Другие методы обследования, показывающие воспаление поджелудочной железы:

  • Компьютерная томография брюшной полости
  • МРТ брюшной полости
  • Ультразвуковое исследование брюшной полости

 

Лечение

Зачастую для проведения лечения требуется госпитализация:

  • Лекарственные препараты, купирующие болевой приступ
  • Внутривенные вливание растворов
  • Ограничение употребления пищи для уменьшения нагрузки на поджелудочную железу

Иногда через нос или рот устанавливается назогастральный зонд (трубка), через который удаляется желудочное содержимое. Данный метод применяется в случае, если рвота или сильная боль ничем не купируется, или возможно развитие пареза кишечника (паралич кишечника). Зонд устанавливается на протяжении от 1 - 2 дней до 1 - 2 недель.

Лечение заболевания предотвращает возникновение повторных болевых приступов.

В некоторых случаях необходимо:

  • Откачать жидкость вокруг поджелудочной железы или внутри нее
  • Удалить желчные камни
  • Освободить проток поджелудочной железы

В особо тяжелых случаях, требуется оперативное вмешательство, для удаления некротизированного или пораженного участка ткани поджелудочной железы.

После улучшения состояния противопоказаны употребление алкогольных напитков, жирной пищи и курение.

 

Прогноз заболевания

Симптомы заболевания купируются в течение недели. Однако, возможен переход заболевания в более тяжелую форму, опасную для жизни.

Уровень смертности возрастает при:

  • Геморрагическом панкреатите
  • Нарушении работы печени, сердца или почек
  • Некротизирующем панкреатите

Вероятность рецидива панкреатита зависит от причин возникновения заболевания и эффективности лечения.

 

Возможные осложнения

  • Острая почечная недостаточность
  • Острый респираторный дистресс-синдром (ОРДС)
  • Накопление жидкости в брюшной полости (асцит)
  • Абсцессы и кисты в поджелудочной железе
  • Сердечная недостаточность
  • Снижение артериального давления

Помните, что повторные эпизоды острого панкреатита могут привести к хроническому панкреатиту.

 

Когда обращаться за врачебной помощью

Сообщите своему врачу, если:

  • Вас беспокоят сильные, постоянные боли в животе
  • У Вас проявляются другие симптомы острого панкреатита

 

Профилактика

Вы можете уменьшить риск развития новых или повторных эпизодов панкреатита, придерживаясь правил, предотвращающих заболевание:

  • Не применяйте аспирин для лечения лихорадки у детей, особенно, если у них возможна вирусная болезнь, чтобы предотвратить синдром Рея.
  • Не злоупотребляйте алкоголем.
  • Проводите вакцинацию детей от паротита (свинки) и других детских болезней (см.: Иммунизация - общий обзор).