.

chest pain | zdrav.kz
X

Электрондық поштаңызға соңғы жаңалықтарды алыңыз

X

Получайте самые последние новости на свой e-mail

chest pain

Parainfluenza refers to a group of viruses that lead to upper and lower respiratory infections.

Causes

There are four types of parainfluenza virus, all of which can cause upper respiratory infections or lower respiratory infections (pneumonia) in adults and children. The virus can cause croup, bronchiolitis, bronchitis and certain types of pneumonia.

The exact number of cases of parainfluenza is unknown but suspected to be very high. Sometimes the viruses cause only a runny nose and other symptoms that may be diagnosed as a simple cold rather than parainfluenza.

Infections are most common in fall and winter. Parainfluenza infections are most severe in infants and become less severe with age. By school age, most children have been exposed to parainfluenza virus. Most adults have antibodies against parainfluenza although they can get repeat infections.

Symptoms

Symptoms vary depending on the type of infection. Cold-like symptoms consisting of a runny nose and mild cough are common. Life-threatening respiratory symptoms can be seen in young infants with bronchiolitis and those with weakened immune systems.

In general, symptoms may include:

  • Chest pain
  • Cough
  • Croup
  • Fever
  • Runny nose
  • Shortness of breath
  • Sore throat
  • Stuffy nose
  • Wheezing

Exams and Tests

A physical exam may show sinus tenderness, swollen glands, and a red throat. The doctor will listen to the lungs and chest with a stethoscope. Abnormal sounds, such as crackling or wheezing, may be heard.

Tests that may be done include:

  • Arterial blood gases
  • Chest x-ray
  • CT scan of the chest
  • Complete blood count (CBC)
  • Swab of nose for rapid viral test

Treatment

There is no specific treatment for the viral infection. Specific treatments are available for the symptoms of croup and bronchiolitis to make breathing easier.

Outlook (Prognosis)

Most infections in adults and older children are mild and recovery takes place without treatment, unless the person is very old or has an abnormal immune system. Medical intervention may be necessary if breathing difficulties develop.

Possible Complications

Secondary bacterial infections are the most common complication. Airway obstruction in croup and bronchiolitis can be severe, even life-threatening.

When to Contact a Medical Professional

Call your health care provider if you or your child develops croup, wheezing or any other type of breathing difficulty. Contact your health care provider if a child under 18 months develops any type of upper respiratory symptoms.

Prevention

There are no vaccines available for parainfluenza. Avoiding crowds to limit exposure during peak outbreaks may decrease the likelihood of infection.

Limiting exposure to daycare centers and nurseries may delay infection until the child is older.

 

Sourcehttp://www.nlm.nih.gov/medlineplus/ency/article/001370.htm

Content

Causes

Symptoms

Exams and tests

Treatment

Outlook (prognosis)

Possible complications

When to contact a medical professional

Prevention

 

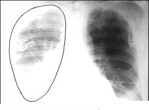
A collapsed lung, or pneumothorax, is the collection of air in the space around the lungs. This buildup of air puts pressure on the lung, so it cannot expand as much as it normally does when you take a breath.

CAUSES

A collapsed lung occurs when air escapes from the lung and fills up the space outside of the lung, inside the chest. It may be caused by a gunshot or knife wound to the chest, rib fracture, or certain medical procedures.

 

In some cases, a collapsed lung occurs without any cause. This is called a spontaneous pneumothorax. A small area in the lung that is filled with air (bleb) can break open, sending air into the space around the lung.

Tall, thin people and smokers are more likely to have a collapsed lung.

The following lung diseases also increase your risk for a collapsed lung:

SYMPTOMS

Common symptoms of a collapsed lung include:

A larger pneumothorax will cause more severe symptoms, including:

Other symptoms that can occur with a collapsed lung include:

EXAMS AND TESTS

There are decreased or no breath sounds on the affected side when heard through a stethoscope. You may have low blood pressure.

Tests include:

TREATMENT

A small pneumothorax may go away on its own. You may only need oxygen and rest.

The doctor may use a needle to pull the extra air out from around the lung so it can expand more fully. You may be allowed to go home if you live near the hospital.

If you have a large pneumothorax, a chest tube will be placed between the ribs into the space around the lungs to help drain the air and allow the lung to re-expand.

The chest tube can be left in place for several days. You may need to stay in the hospital. However, you may be able to go home if a small chest tube is used.

Some patients with a collapsed lung need extra oxygen.

Lung surgery may be needed to treat your pneumothorax or to prevent future episodes. The area where the leak occurred may be repaired. Sometimes, a special chemical is placed into the area of the collapsed lung. This chemical causes a scar to form. This procedure is called pleurodesis.

OUTLOOK (PROGNOSIS)

If you have a collapsed lung, you are more likely to have another one in the future if you:

  • Are tall and thin
  • Continue to smoke
  • Have had two collapsed lungs in the past

How well you do after having a collapsed lung depends on what caused it.

POSSIBLE COMPLICATIONS

  • Another collapsed lung in the future
  • Shock

WHEN TO CONTACT A MEDICAL PROFESSIONAL

Call your health care provider if you have symptoms of a collapsed lung, especially if you have had one before.

PREVENTION

There is no known way to prevent a collapsed lung, but you can decrease your risk by not smoking.

 

Source: http://www.nlm.nih.gov/medlineplus/ency/article/000087.htm

Contents

Symptoms

Exams and Tests

Treatment

Outlook (Prognosis)

Possible Complications

When to Contact a Medical Professional

Prevention

 

Mycoplasma pneumonia is an infection of the lungs by the bacteria Mycoplasma pneumoniae (M. pneumoniae).

Mycoplasma pneumonia usually affects people younger than 40.

People at highest risk for mycoplasma pneumonia include those living or working in crowded areas such as schools and homeless shelters, although many people with it have no identifiable risk factor.

Symptoms

The symptoms are generally mild and appear over a period of 1 to 3 weeks. They may become more severe in some people.

Common symptoms include the following:

  • Chest pain
  • Chills
  • Cough, usually dry and not bloody
  • Excessive sweating
  • Fever (may be high)
  • Headache
  • Sore throat

Less common symptoms include:

  • Ear pain
  • Eye pain or soreness
  • Muscle aches and joint stiffness
  • Neck lump
  • Rapid breathing
  • Skin lesions or rash

Erythema multiforme lesions are often referred to as target lesions because of the concentric rings the lesions produce. The "target" appearance is well demonstrated in this photograph.

Exams and Tests

Persons with suspected pneumonia should have a complete medical evaluation, including a thorough physical exam and a chest x-ray -- especially because the physical exam may not always be able to tell pneumonia apart from acute bronchitis or other respiratory infections.

Depending on the severity of illness, other tests may be done, including:

  • Complete blood count (CBC)
  • Blood cultures
  • Blood tests for signs of mycoplasma infection
  • Bronchoscopy
  • CT scan of the chest
  • Open lung biopsy (only done in very serious illnesses when the diagnosis cannot be made from other sources)
  • Sputum culture to check for mycoplasma bacteria

Treatment

Antibiotics that work against Mycoplasma include macrolides, fluroquinolones, and tetracyclines. You can take these steps at home:

Control your fever with aspirin, nonsteroidal anti-inflammatory drugs (NSAIDs, such as ibuprofen or naproxen), or acetaminophen. DO NOT give aspirin to children.

Do not take cough medicines without first talking to your doctor. Cough medicines may make it harder for your body to cough up the extra sputum.

Drink plenty of fluids to help loosen secretions and bring up phlegm.

Get a lot of rest. Have someone else do household chores.

Outlook (Prognosis)

Most people recover completely even without antibiotics, although antibiotics may speed recovery. In untreated adults, cough and weakness can persist for up to a month. The disease can be more serious in the elderly and those with a weakened immune system.

Possible Complications

  • Ear infections
  • Hemolytic anemia
  • Severe pneumonia
  • Skin rashes

When to Contact a Medical Professional

Call for an appointment with your health care provider if you develop a fever, cough, or shortness of breath. While there are numerous causes for these symptoms, you will need to be checked for pneumonia.

Also, call if you have been diagnosed with this type of pneumonia and your symptoms become worse.

Prevention

Azithromycin can reduce the risk of developing mycoplasma pneumonia in close contacts of patients with the disease. However, this is not often used, and avoiding people who have the infection may also help reduce yourrisk.

Infants, and persons in poor health, especially those with weakened immune systems due to HIV, organ transplants, or other conditions should avoid contact with people who have mycoplasma pneumonia.

 

Sourcehttp://www.nlm.nih.gov/medlineplus/ency/article/000082.htm