.

кортикостероиды | zdrav.kz
X

Электрондық поштаңызға соңғы жаңалықтарды алыңыз

X

Получайте самые последние новости на свой e-mail

кортикостероиды

Бұл дегеніміз не? Остеоартрит – буындардың соғылуынан сақтайтын шеміршек уақыт өте бұзылатын жағдай. Түбінде, сүйек –  бұрын шеміршекпен бөлінетін– бір біріне үйкеле бастайды, нәтижесінде, төменірек орналасқан сүйек тіннің бұзылуы орын алады, бұл буын симптомдарын туындатады. ревматоидтық артриттен айырмашылығы - остеоартрит тіндердің қабынуымен қосарланбайды.

Кімде кездеседі? Остеоартрит – буындардың кең таралған ауруы, 70-тен асқан адамдардың 80 пайызынан астамын зақымдайды, еңбекке қабілетті жоғалтудың негізгі себебі.

Қандай буындар жиі зақымданады? Көбінесе, ол омыртқаға, үлкен саусаққа, санға, тізеге, бақайға әсер етеді.

Симптомдары қандай? Остеоартриттің симптомдарының ішінде маңыздысы келесілер:

·         Ауырсыну әдетте, үлкен саусақта, санда, тізеде, омыртқада, бақайда, иықта болады – зақымдану тұсына байланысты. Ауырсыну әдетте, буынның қозғалысымен байланысты және белсенділіктен кейін, кешке қарай күшейеді. Ауру асқынғанда ауырсыну ұйқтағанда да болады. 

·         Буынның қозғалуының шектелуі және сіресу сезімі (бір сағаттан артық созылады), әрекет етпеу кезеңдерінен кейін, мысалы, таңертең, түнгі ұйқыдан кейін. 

·         Буынның әлсіздігі және кейде ісінуі, бұл буын ішіндегі және маңайындағы сұйықтықтан туындайды (синовит). 

·         Буындардың ұлғаюы, мысалы, саусақ бунағында сүйек түйіндерінің пайда болуы.

·         Қозғалғанда үйкеліс сезімі (крепитация), ауырсынумен жиі қосарланады.

ЕмдеуОстеоартриттің симптомдары көбінесе, ауырсынуды басатын дәрілермен үй жағдайында табысты емделеді, сондай-ақ, уақытылы демалу, дене жүктемелерін азайту, емдік дене шынықтыру қажет. Остеоартрит әдетте, кейде ушығады, бірақ, уақыт өткесін басылады. Кейде гормондар инъекцисы (кортикостероидтар) ұсынылады. Ауыр жағдайда буынды алмастыру бойынша немесе буынның қозғалысын қалпына келтіру үшін, зақымданған тіндерді алып тастау үшін операция қажет болады.

Irritable bowel syndrome (IBS) is a disorder that leads to abdominal pain and cramping, changes in bowel movements, and other symptoms.

IBS is not the same as inflammatory bowel disease (IBD), which includes Crohn's disease and ulcerative colitis. In IBS, the structure of the bowel is not abnormal.

CAUSES

It is not clear why patients develop IBS. Sometimes it occurs after an infection of the intestines. This is called postinfectious IBS. There may also be other triggers.

The intestine is connected to the brain. Signals go back and forth between the bowel and brain. These signals affect bowel function and symptoms. The nerves can become more active during stress, causing the intestines to be more sensitive and squeeze (contract) more.

IBS can occur at any age, but it often begins in the teen years or early adulthood. It is twice as common in women as in men.

IBS is the most common intestinal problem that causes patients to be referred to a bowel specialist (gastroenterologist).

SYMPTOMS

Symptoms range from mild to severe. Most people have mild symptoms. Symptoms are different from person to person.

The main symptoms of IBS are abdominal pain, fullness, gas, and bloating that have been present for at least 3 days a month for the last 3 months. The pain and other symptoms will often:

  • Be reduced or go away after a bowel movement

  • Occur when there is a change in how often you have bowel movements

People with IBS may switch between constipation and diarrhea, or mostly have one or the other.

  • People with diarrhea will have frequent, loose, watery stools. They will often have an urgent need to have a bowel movement, which may be hard to control.

  • Those with constipation will have a hard time passing stool, as well as fewer bowel movements. They will often need to strain and will feel cramps with a bowel movement. Often, they do not release any stool, or only a small amount.

For some people, the symptoms may get worse for a few weeks or a month, and then decrease for a while. For other people, symptoms are present most of the time.

People with IBS may also lose their appetite.

EXAMS AND TESTS

There is no test to diagnose IBS. Tests may be done to rule out other problems:

  • Blood tests to see if you have celiac disease or a low blood count (anemia)

  • Stool cultures to check for an infection

Some patients will have a colonoscopy. During this test, a flexible tube is inserted through the anus to examine the colon. You may need this test if:

  • Symptoms began later in life (over age 50)

  • You have symptoms such as weight loss or bloody stools

  • You have abnormal blood tests (such as a low blood count)

Other disorders that can cause similar symptoms include:

TREATMENT

The goal of treatment is to relieve symptoms.

Lifestyle changes can help in some cases of IBS. For example, regular exercise and improved sleep habits may reduce anxiety and help relieve bowel symptoms.

Dietary changes can be helpful. However, no specific diet can be recommended for IBS, because the condition differs from one person to another.

The following changes may help:

  • Avoid foods and drinks that stimulate the intestines (such as caffeine, tea, or colas)

  • Avoid large meals

  • Increase fiber in the diet (this may improve constipation but make bloating worse)

Talk with your doctor before taking over-the-counter medications.

No one medication will work for everyone. Medications your doctor might try include:

  • Anticholinergic medications (dicyclomine, propantheline, belladonna, and hyoscyamine) taken about a half-hour before eating to control intestinal muscle spasms

  • Bisacodyl to treat constipation

  • Loperamide to treat diarrhea

  • Low doses of tricyclic antidepressants to help relieve intestinal pain

  • Lubiprostone for constipation symptoms

  • Rifaximin, an antibiotic

Therapy may help in cases of severe anxiety or depression.

PROGNOSIS

Irritable bowel syndrome may be a lifelong condition. For some people, symptoms are disabling and reduce the ability to work, travel, and attend social events.

Symptoms can often be improved or relieved through treatment.

IBS does not cause permanent harm to the intestines, and it does not lead to a serious disease, such as cancer.

 

Sourcehttp://kidshealth.org/parent/general/aches/ibs.html#

Facial paralysis occurs when a person is no longer able to move some or all of the muscles on one side of the face.

Causes

Facial paralysis is almost always caused by:

  • Damage or swelling of the facial nerve, which carries signals from the brain to the muscles of the face
  • Damage to the area of the brain that sends signals to the muscles of the face

In people who are otherwise healthy, facial paralysis is often due to Bell's palsy. This is a condition in which the facial nerve becomes inflamed.

Stroke may cause facial paralysis. With a stroke, other muscles on one side of the body may also be involved.

Facial drooping can be caused by a disorder such as Bell's palsy. This disorder is a mononeuropathy (involvement of a single nerve) that damages the seventh cranial (facial) nerve. The facial nerve controls movement of the muscles of the face.

Facial paralysis that is due to a brain tumor usually develops slowly. Symptoms can include headaches, seizures, or hearing loss.

Other causes include:

What to Expect at Your Office Visit

The doctor will perform a physical exam and ask questions about your medical history and symptoms, including:

  • Are both sides of your face affected?
  • Have you recently been sick or injured?
  • What other symptoms do you have? For example, drooling, excessive tears from one eye, headaches, seizures, vision problemsweakness, or paralysis.

Tests that may be ordered include:

The doctor may refer you to a physical, speech, or occupational therapist. If facial paralysis from Bell's palsy lasts for more than 6 - 12 months, plastic surgery may be recommended to help the eye close and improve the appearance of the face.

Treatment

Treatment depends on the cause. Follow your health care provider's treatment recommendations.

Home Care

Follow your health care provider's instructions on how to take care of yourself at home. Take any medicines as directed.

If the eye cannot fully close, the cornea must be protected from drying out with prescription eye drops or gel.

When to Contact a Medical Professional

Call your doctor if you have weakness or numbness in your face. Seek emergency medical help right away if you have these symptoms along with a severe headache, seizure, or blindness.

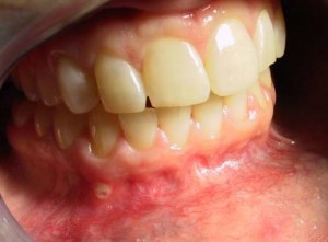
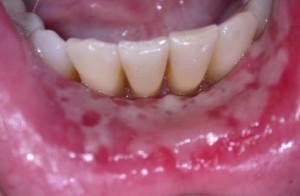
Canker sores (recurrent aphthous stomatitis, RAS) are among the most common of oral conditions and are experienced by more than half of the population. These small, round or oval, painful yellowish sores often first appear in adolescence.

They usually affect the softer parts of the mouth that move, such as the tongue, soft palate, cheeks, and lips. This condition is recurrent because these sores usually will heal on their own but then reappear in the same or new locations after a period of time. In some severe cases, old ulcers may be healing while new ones appear.

There are three main forms:

Minor Aphthous Stomatitis: this is the form that affects more than 80% of canker sore sufferers. The sores are usually small (less than 1 centimeter in diameter), heal in about a week, and do not cause scarring.

Major Aphthous Stomatitis: this more severe form affects approximately 15% of patients with canker sores. These sores often last two weeks or more and are typically over 1 centimeter in diameter. They can be extremely painful and often heal with scarring.

Herpetiform Aphthous Stomatitis: This form of the condition is uncommon, occurring in less than 5% of people with canker sores. They occur as clusters of very small ulcers (less than a millimeter in some cases) that sometimes merge together to form larger ulcers. They usually heal in just over one week.

Most of the time, canker sores are self-limiting. This means that they will go away even without treatment. The cause of canker sores is not known. However, in some instances, they can be a sign of other conditions affecting the body (such as a gastrointestinal disease). Be sure to tell your doctor if you are experiencing fatigue, abdominal pain, fever, eye discomfort, or have rashes or sores on other parts of your body.

A Typical Minor Aphthous Ulceration

More Extensive Major Ulcerations

QUESTIONS AND ANSWERS ABOUT CANKER SORES

Q: Is the condition contagious? Did I catch it and can I give it to anyone else?
A: No. This condition is not like herpes and cannot be transmitted, even if you have open sores.

Q: How can I tell the difference?
A: The location is a good clue. Your doctor may recommend performing culture testing or a biopsy to be certain.

Q: Then what causes canker sores?
A: No one really knows, but it is thought to be caused by an immune system malfunction that causes white blood cells to temporarily attack the mucosal cells lining the mouth. Sometimes they are a form of allergic reaction to food ingredients or components of toothpastes or mouthwash. Canker sores can also be associated with some systemic conditions such a Crohn’s disease and nutritional deficiencies.

Q: How can I tell if my canker sores are related to an allergy or systemic condition?
A: Your doctor can often make this diagnosis after carefully assessing your medical history. Sometimes simple blood tests may be required to see if you have a nutritional deficiency, or your doctor may suggest allergy testing.

Q: Is there a cure for canker sores?
A: Not yet. However, therapies are available to decrease pain, shorten the time of the ulcers, and even reduce how often they occur. These range from creams applied to the sores to stronger systemic medications.

Q: Can anything prevent them?
A: The best way to attempt preventing them is to keep an ulcer diary. By writing down when you have outbreaks of canker sores, you may find that there are connections between your diet, toothpaste, or lifestyle. You should share this information with your doctor as it may help him or her develop a more effective treatment strategy.

Q: What about “canker sore toothpastes”?
A: These lack a detergent known as SLS (sodium lauryl sulfate). In some patients, using an SLS free toothpaste reduces the frequency of outbreaks.

Q: When should I talk to my dentist about my Canker Sores?
A: If you experience more than three canker sore outbreaks per month, if you are never without an ulcer, or if you have any symptoms listed in this sheet or feel that there could be other factors connected to your canker sores

Q: I see many canker sore medicines in the store. Is one better than the other?
A: While there are numerous products marketed to treat canker sores, there is no perfect product and there are few well designed trials comparing the efficacy of these products against each other. A product that works well for you may not work well for someone else. You should advise your dentist of any products you have used or are currently using to treat your canker sores. A summary of commonly recommended therapeutic agents is discussed in the Patient Information Sheet “Treatment of Canker Sores”

 

Source: https://medlineplus.gov/ency/article/000892.htm

Contents

Causes

Symptoms

Exams and Tests

Treatment

Outlook (Prognosis)

Possible Complications

When to Contact a Medical Professional

Prevention

 

Reye syndrome is sudden (acute) brain damage and liver function problems that do not have a known cause.

This syndrome has occurred in children who were given aspirin when they had chickenpox or the flu. Reye syndrome has become very rare because aspirin is no longer recommended for routine use in children.

Causes

Reye syndrome is most often seen in children ages 4 to 12. Most cases that occur with chickenpox are in children ages 5 to 9. Cases that occur with the flu are usually in children ages 10 to 14.

Symptoms

Children with Reye syndrome get sick very suddenly. The syndrome often begins with vomiting, which lasts for many hours. The vomiting is quickly followed by irritable and aggressive behavior. As the condition gets worse, the child may be unable to stay awake and alert.

Other symptoms of Reye syndrome:

  • Confusion
  • Lethargy
  • Loss of consciousness or coma
  • Mental changes
  • Nausea and vomiting
  • Seizures
  • Unusual placement of arms and legs (decerebrate posture). The arms are extended straight and turned toward the body, the legs are held straight, and the toes are pointed downward

Other symptoms that can occur with this disorder include:

Exams and Tests

The following tests may be used to diagnose Reye syndrome:

Treatment

There is no specific treatment for this condition. The health care provider will monitor the pressure in the brain, blood gases, and blood acid-base balance (pH).

Treatments may include:

  • Breathing support (a breathing machine may be needed during a deep coma)
  • Fluids by IV to provide electrolytes and glucose
  • Steroids to reduce swelling in the brain

Outlook (Prognosis)

How well a person does depends on the severity of any coma, as well as other factors.

The outcome for those who survive an acute episode may be good.

Possible Complications

Complications may include:

When untreated, seizures and coma may be life threatening.

When to Contact a Medical Professional

Go to the emergency room or call the local emergency number (such as 911) immediately if your child has confusion, lethargy, or other mental changes.

Prevention

Never give a child aspirin unless told to do so by your doctor.

When a child must take aspirin, take care to reduce the child's risk of catching a viral illness, such as the flu and chickenpox. Avoid aspirin for several weeks after the child has received a varicella (chickenpox) vaccine.

Note: Other over-the-counter medicines, such as Pepto-Bismol and substances with oil of wintergreen also contain aspirin compounds called salicylates. DO NOT give these to a child who has a cold or fever.

 

Source: https://medlineplus.gov/ency/article/001565.htm

Мазмұны

Жалпы ақпарат

Кортикостероидтарды тағайындауға көрсетімдер

Жанама әсерлері

 

Жалпы ақпарат

Кортикостероидтар –бірқатар ауруларды емдеуде қолданылатын дәрілік препараттар. Бұл препараттар күйзеліске,жарақатқа байланысты туындаған ауруларға жауап ретінде бүйрек үсті безінде өндірілетін гормондарға ұқсайды. Олардың әсер ету механизмі қабынуды азайтуымен және иммундық жүйеге әсер етуімен байланысты.

 

Кортикостероидтарды тағайындауға көрсетімдер

Кортикостероид келесі ауруларды емдеуде қолданылады:

  • Артрит
  • Бронхы демікпесі (астма)
  • Аутоиммундық аурулар, мысалы, жүйелі қызылжегі және шашыраңқы склероз
  • Тері аурулары, мысалы, экзема және бөріткен
  • Қатерлі ісіктің кейбір түрлері

 

Жанама әсерлері

Кортикостероидтар –бұл күшті дәрілік препараттар, оларды қабылдағанда жанама әсерлері пайда болуы мүмкін, мысалы, остеопороз (сүйектің әлсіздігі) және катаракта. Сондықтан, мүмкіндігінше, олар қысқа мерзімге тағайындалады. 

What are corticosteroids?

If your child has asthma or allergic rhinitis (hay fever), your pediatrician may prescribe a corticosteroid, also commonly referred to as a steroid. These medicines are the best available to decrease the swelling and irritation (inflammation) that occurs with persistent asthma or allergy.

They are not the same as the anabolic steroids that are used illegally by some athletes to build muscles.

The medicine works in 2 ways. Systemic corticosteroids must go through the body to treat the inflammation. Inhaled or intranasal corticosteroids go directly to where the inflammation is.

In general, corticosteroids are safe and work well if the medicine is taken as recommended by your pediatrician. However, as with all medicines, you should know about the possible side effects. There are far fewer risks with inhaled or intranasal corticosteroids than with the side effects of systemic corticosteroids because much less medicine is given. The amount of medicine given in a systemic corticosteroid can be 10 to 100 times more.

 

Systemic Corticosteroids

May be given for a short period if your child has a bad asthma attack. In some cases, these medicines can save lives.

  • Form. Your child may take a pill, tablet, or liquid. Medicine may also be given by a shot or through the vein (IV).
  • Side effects can include behavior change, increased appetite, acne, thrush (a yeast infection in the mouth), stomach upset, or trouble sleeping. These all go away when the medicine is stopped. More serious side effects can happen if this medicine is used often or for 2 weeks or longer. They include cataracts (clouding of the lens of the eye), weight gain, worsening of diabetes, bone thinning, slowing of growth, reduced ability to fight off infections, stomach ulcers, and high blood pressure.

 

Inhaled Corticosteroids

May be given to prevent or control asthma symptoms. Inflammation inside the bronchial tubes of the lungs is felt to be an important cause of asthma. Inhaled corticosteroids work by decreasing this inflammation. Inhaled corticosteroids are the most effective long-term medicine for the control and prevention of asthma. They can reduce asthma symptoms, and your child may not need to take as many other medicines. Inhaled corticosteroids also can improve sleep and activity and prevent asthma attacks.

  • Form. Medicine is breathed in through an inhaler.
  • Side effects are much less common and less serious than those that occur from long-term systemic use. They may include a yeast infection in the mouth or hoarseness. The risk can be reduced using a spacer or holding chamber, rinsing the mouth after use, or using the lowest dose needed.

 

Intranasal Corticosteroids

May be given to prevent or control a runny nose and congestion from allergies. Intranasal corticosteroids work very well in treating allergy symptoms, and your child may not need to take as many other allergy medicines.

  • Form. Medicine is sprayed into the nose.
  • Side effects may include irritation of the nose, or feeling that something is "running down the throat" at the time the nose spray is used. Occasionally, a child can have nosebleeds from using the spray. If this occurs, stopping the nose spray for a few days often allows the child to be able to restart the medicine and continue using it.

 

Your Child's Growth

Recent studies have shown that inhaled corticosteroids for asthma may slow down growth in some children during the first year of treatment, but this is only temporary. These children ended up with their normal expected heights as adults.

To reduce the risk of any side effects, your pediatrician will prescribe the lowest dose needed to control the symptoms. Your child's height will also be measured regularly during office visits.

 

Содержание

Общая информация

Показания к назначению кортикостероидов

Побочные эффекты

 

Общая информация

Кортикостероиды – это лекарственные препараты, применяемые для лечения целого ряда заболеваний. Эти препараты похожи на гормоны, вырабатывающиеся в надпочечниках в ответ на травмы или заболевания, связанные со стрессом. Механизм их действия связан с уменьшением воспаления и влиянием на иммунную систему.

Показания к назначению кортикостероидов

Кортикостероиды применяются для лечения следующих заболеваний:

Побочные эффекты

Кортикостероиды - сильные лекарственные препараты, при их приеме может возникнуть множество побочных эффектов, таких как остеопороз (ослабление костей) и катаракта. Поэтому, по мере возможности, они назначаются кратковременно. 

Что это такое? Синдром воспаленной кишки включает два основных заболевания: неспецифический язвенный колит, который поражает толстую кишку, и Болезнь Крона, которая распространяется любую часть всего пищеварительного тракта, начиная от рта и заканчивая анусом.  Другим отличающим фактором является нахождение так называемых гранулем – конгломерата лимфоцитов в слизистой оболочке кишки, характерных для Болезни Крона.

Симптомы воспалительной болезни кишечника могут включать боль в области живота, частую диарею, с примесью крови или гноя, озноб, снижение веса и утомляемость.   
Болезнь может быть слабой или тяжелой и протекает с периодами обострения и с отсутствием симптомов (ремиссия). Людей, страдающих болезнью Крона и язвенным колитом, часто приходится госпитализировать.

Лечение зависит от степени тяжести приступов и возраста больного. Лечение может включать лекарства, такие как кортикостероиды и производные аминосалициловой кислоты, витамины, высокобелковые диеты. В серьезных случаях, сопровождающихся кровотечением, приходится делать операции по удалению сегментов толстой кишки.

 

Паралич или слабость мышц на одной стороне лица. Он вызывает свисание одной стороны лица и влияет на вкусовое ощущение, слезообразование и слюнообразование.

В большинстве случаев периферического паралича лицевого нерва нерв, контролирующий мышцы на одной стороне лица, поражен воспалением. Причина этого воспаления не ясна, однако она может быть связана с вирусной инфекцией.

Периферический паралич лицевого нерва наступает неожиданно, часто за ночь, и обычно улучшается или проходит самостоятельно без лечения в течение нескольких недель. Во избежание сухости или травмы можно на ночь наложить повязку на глаз на пораженной стороне. Для уменьшения воспаления врач можетпрописать кортикостероиды.